
近日,立博体育|实时赛事直播与比分|权威专家分析与体育竞猜平台 口腔颌面外科团队通过精准微创手术,成功为一名16岁少年解除困扰其十余年的“无牙”问题。该患者颌骨内不仅存在三颗磨牙异常埋伏,还伴发颌骨囊肿,手术团队采用先进技术,在确保功能与美观的同时,为患者后续牙齿修复奠定基础。
据了解,家住益阳市的王其(化名)自6岁起左下磨牙一直未萌出,家长起初以为仅是发育较晚,未予重视。直至14岁时,王其的磨牙仍未见生长,父母这才带着他去当地立博体育
检查,完善了口腔X片后才发现,王其多年无牙的罪魁祸首竟是其右下颌骨内没长出来的三颗磨牙呈“叠罗汉”状埋伏,由于埋伏牙位置较深,当地立博体育
建议在面部下方皮肤行切口拔除埋伏牙,或者继续观察,等待恒牙自行萌出。因考虑传统手术可能遗留面部瘢痕,王其及家人选择保守观察。

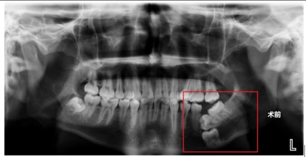
术前X片显示,右下颌骨内没长出来的三颗磨牙呈“叠罗汉”状埋伏
距离上次就诊已经过去两年,今年16岁的王其因牙齿长期缺失影响咀嚼功能,于暑假期间前往立博体育|实时赛事直播与比分|权威专家分析与体育竞猜平台
就诊。该院口腔科副主任、主任医师贺祖武接诊后,确诊其为“多牙埋伏伴颌骨囊肿”。贺祖武表示,此类情况等待恒牙自行萌出基本不可能,若继续拖延,囊肿可能进一步侵蚀颌骨,甚至导致病理性骨折,需尽快手术治疗。

“由于‘埋伏’的牙齿位置极深,口腔外皮肤进入最为直截了当,也能最大限度获得手术视野,但术后会遗留面部疤痕,甚至可能损伤面神经,导致面瘫的风险。”考虑到传统口外入路手术可能损伤面部神经并给正值青春期的少年遗留疤痕,口腔科医疗团队经充分评估,决定采用更具挑战性的“口内入路”方案——在患者全身麻醉下口内入路拔除埋伏牙并刮除囊肿。
在经过充分的术前准备后,贺祖武带领团队利用超声骨刀精准去骨,最大程度减少患者的术区创伤,保留足够的颌骨骨量,尽量避免下颌骨出现病理性骨折。术中,还同期应用浓缩生长因子(CGF)凝胶混合骨填充材料,植入术区的创口,促进骨组织再生及愈合,确保术后功能与美观兼顾,极大限度减少对患者生活质量的影响。手术历时1小时顺利完成,患者术后恢复良好,次日即可进食流质饮食。术后X片显示,其被囊肿侵蚀的颌骨缺损区已成功植入人工骨材料,为后续种植牙打下基础。

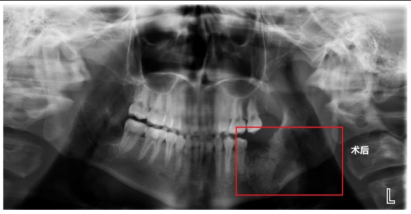
术后X片显示,被囊肿侵蚀的颌骨缺损区已成功植入人工骨材料
贺祖武介绍,正常儿童第一恒磨牙应在6至7岁萌出,第二恒磨牙在11至13岁萌出。若恒牙迟萌超过2年,家长需警惕埋伏牙、多生牙或颌骨囊肿等发育异常,及时就医干预,避免影响颌面部发育及功能。目前,王其已康复出院,待18岁后可进行种植牙修复。该案例为青少年牙齿迟萌问题敲响警钟,专家呼吁家长关注儿童牙齿发育情况,做到早发现、早诊断、早治疗。
供稿丨口腔科 田甜 宣传部 高琳
一审丨口腔科 贺祖武
二审丨宣传部 李晶
三审丨宣传部 周阳
医德医风和医药领域腐败问题集中整治举报:
一、信息平台:立博体育|实时赛事直播与比分|权威专家分析与体育竞猜平台
二、邮寄地址:长沙市韶山南路161号立博体育
安全办,邮编:410004
三、来访接待:立博体育
安全办办公室