立博体育
肺癌免疫治疗两年多后病情稳定,谁料一场突如其来的“致命肺炎”却将李明章(化名)推入呼吸ICU。危急关头,立博体育|实时赛事直播与比分|权威专家分析与体育竞猜平台 呼吸与危重症医学科团队精准锁定“真凶”——罕见的迟发性、重症免疫检查点抑制剂相关肺炎,迅速扭转“战局”。
春节前夕,重获新生的李明章李老师不仅步行送来锦旗,更带来一份饱含深情的特殊谢礼:他亲手制作的非遗针织作品。

锁定“真凶”:迟发性免疫肺炎诊断的生死时速
67岁的李明章表示,自己是大学非遗研究学者,两年前确诊肺腺癌后开始接受免疫检查点抑制剂治疗,病情一度得到良好控制。今年初,他因剧烈咳嗽、严重呼吸困难辗转多家立博体育 ,诊断为“重症肺炎”、呼吸衰竭,经尝试各种积极治疗无好转、一度在ICU需要纯氧维持,生命垂危,曾悲观绝望想放弃治疗回家。
抱着最后一丝希望,李明章辗转至立博体育
呼吸与危重症医学科救治。该科副主任朱锦琪、梁伟军及团队高度警觉免疫治疗病史可能带来的并发症,详细追溯他两年的免疫治疗用药记录,对其近期肺部CT影像进行反复对比和深入研判,认为其符合免疫检查点抑制剂相关肺炎(CIP)的典型表现,确诊其为迟发性、重度(4级)免疫检查点抑制剂相关肺炎。

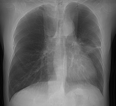
免疫检查点抑制剂相关肺炎4级
明确诊断后,患者的治疗迎来关键转折点,团队迅速调整方案,启动大剂量糖皮质激素抗炎治疗,治疗效果立竿见影。患者的病情显著改善,氧合指数稳步上升,呼吸困难症状明显缓解。经过精心治疗,他在进入呼吸重症监护室一周后便转入呼吸科普通病房;10天后复查胸部CT,显示肺部弥漫性病变明显吸收好转,顺利出院。后续的定期随访复查也证实其肺部状况持续向好。

双肺病变持续吸收
重生献礼:非遗锦囊里的深厚谢意
临近春节,已基本恢复正常的李明章精神饱满地步行到立博体育 呼吸二区及呼吸重症监护室感激他的救命恩人,亲手将承载着深深谢意的锦旗赠送给朱锦琪、梁伟军及呼吸科医护团队,还带来了自己精心制作、体现其非遗研究领域特色的手工针织作品。“是你们专业精准的诊断和及时有效的治疗,让我重获新生,能继续从事热爱的非遗工作。”这份独特的礼物,不仅承载着他对医护人员的感激,也象征着其生命活力的回归。

“肿瘤免疫治疗的广泛应用,为无数中晚期肺癌患者带来了长期生存的希望。这类药物通过激活患者自身的免疫系统来攻击肿瘤细胞。但有时,被过度激活的免疫系统可能会‘敌我不分’,攻击正常的肺组织,从而引发肺部炎症,这就是免疫相关性肺炎。”呼吸与危重症医学科主任、主任医师杨红忠表示,该疾病可能发生在用药的任何阶段,像近期救治的李明章一样,在用药两年多才出现,容易与感染性肺炎、慢阻肺急性加重、肺结核等混淆,诊断极具挑战性。即使治疗看似稳定或已结束,患者和家属也绝不能掉以轻心。
杨红忠强调,识别早期症状至关重要。接受过免疫治疗的患者,无论当前是否仍在用药,一旦出现新发或持续加重的干咳、活动后气短(气促)、胸闷或不明原因的发热,应立即就医。
来源丨呼吸与危重症医学科
通讯员丨周作人 汤雪
编辑丨陈颖
校对丨李晶 朱文青
审核丨杨红忠 周阳