立博体育
“是你们给了我母亲第二次生的机会!”4月24日,在立博体育|实时赛事直播与比分|权威专家分析与体育竞猜平台 脊柱外科二区,62岁的张云(化名)康复出院时,其女儿给了许湘红护士长一个大大的拥抱,深情致谢。这温情一幕的背后,是一场应对高难度挑战的生命救治。

62岁的张阿姨患强直性脊柱炎30余年,3月24日,她不慎摔倒后颈部着地,当即出现四肢麻木、乏力、活动受限等症状,被紧急送往立博体育 急诊科救治,诊断为强直性脊柱炎、C6椎体骨折并C5/6颈椎脱位、颈、胸椎硬膜外血肿,病情危重。

急诊入院核磁共振影像结果
当“强直”脊柱遭遇骨折:救治难度倍增
颈脊髓损伤的救治黄金时间为损伤后6—8小时。患者转入脊柱外科二区后,科主任曾浩博士团队立即开启紧急救治通道,经过2天的脱水、激素冲击等对症支持治疗后,张阿姨神经功能有所改善,但危机并未解除。张阿姨长达30余年的强直性脊柱炎导致其颈椎严重僵硬前屈,下颌距胸骨上端仅2-3cm。此次摔倒造成其第5、6节段C6三柱骨折并脱位,颈胸段广泛硬膜外血肿,手术势在必行
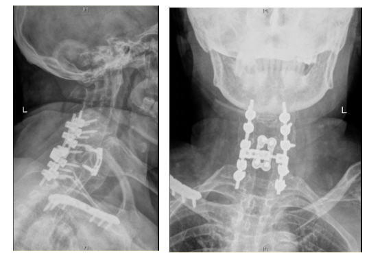
多学科精密配合,在“毫米”间完成高难度手术
面对挑战,团队决定实施颈椎前路联合后路这一高难度手术,以解除脊髓压迫,充分固定颈椎三柱损伤,最大限度促进脊髓功能恢复。
然而此术式对体位要求极高,需要患者颈部尽量后仰,充分暴露手术视野、保障手术操作空间,然而患者自身的颈部生理条件给手术团队带来了极大挑战。后仰不足,会导致手术视野狭窄、解剖结构暴露不清,增加脊髓、神经损伤的风险,严峻考验着手术者的专业能力、操作熟练度和应急处理水平。曾浩带领团队进行详细的术前评估和充分的术前准备后,一场与高难度挑战对抗的救治就此展开。
手术室、麻醉科等相关科室高效联动,医护密切配合,小心翼翼地协助患者调整颈部角度,多位资深麻醉医生紧密配合成功插管,在保障患者安全、避免脊髓二次损伤的前提下,尽可能扩大手术视野。手术中,曾浩带领手术团队凭借精湛的医术和丰富的临床经验,在狭窄的操作空间内精准操作、成功完成手术,并最大限度地保护了受损的脊髓神经,为患者的康复争取了希望。

术后复查CT影像结果
手术成功只是第一步,术后的护理与康复同样至关重要。在许湘红护士长带领的护理团队专业照护下,张阿姨恢复情况远超预期:从术后四肢毫无知觉,到逐渐能活动手指、抬动手臂,再到可以自主翻身、坐起,最终肢体肌力恢复到4级,顺利出院。
专家提醒:警惕强直性脊柱炎,这些信号别忽视
曾浩提醒,强直性脊柱炎早期易被误认为“腰肌劳损”。以下特征性表现应高度警惕:
炎性腰背痛:多在45岁以前隐匿起病,持续时间超过3个月,休息加重、活动后缓解,夜间痛,久坐后起身困难。
晨僵:早晨腰背部僵硬,活动30分钟以上缓解。
交替性臀区痛:左右臀部交替出现深部疼痛。
附着点炎症:肌腱韧带与骨骼附着处发生炎症,如足跟痛、足底刺痛、胸肋关节痛。
外周关节肿痛:部分患者膝、踝、髋等大关节的肿痛,甚至早于腰背痛出现。
一旦出现相关症状,应尽早就诊,通过骶髂关节X线或MRI、HLA-B27基因检测协助诊断。确诊后需规范治疗(如使用非甾体抗炎药、生物制剂并结合康复锻炼),以控制炎症,延缓疾病进展。特别需要注意的是,晚期患者脊柱脆弱,应避免剧烈运动和摔倒,若出现新发的肢体麻木、无力,须立即就医。
来源丨脊柱外科二区
通讯员丨胡琦琦 朱文青
编辑丨陈颖
校对丨李晶 朱文青
审核丨曾浩 周阳