
家住长沙76岁的黄爱云(老人)最近经历了一场“生死时速”,五一假期的最后一天,她出现呼吸困难被家人送往立博体育
救治,结果途中突发呼吸心跳停止,到达立博体育
急诊科后经过紧急抢救初步脱离危险,医生发现,造成老人呼吸心跳骤停的原因是甲状腺巨大肿瘤对气管造成了堵塞和压迫,如何解除气道梗阻是当务之急。
据老人家人介绍,老人今年76岁,自2015年诊断为甲状腺癌后,历经多次手术、放化疗治疗,但肿瘤并没有得到有效控制。五一假期第一天,老人就出现了气促的症状,因为不严重就没去立博体育
检查,到了5月4日下午,老人突然出现严重的呼吸困难,伴有咳嗽,但无法将痰液咳出,家人赶紧开车将老人送往立博体育
,没想到在送医途中老人突然出现呼之不应,呼吸与心跳停止。

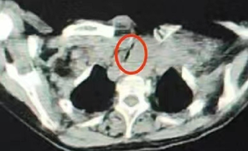
红圈所示为肿瘤,缝隙状为受压的气管
“老人入急诊科时,皮肤湿冷,口唇发绀,呼吸心跳停止,予以胸外心脏按压及经口气管插管、呼吸机辅助通气等系列抢救措施后生命体征恢复平稳。”急诊室接诊医生曾昭介绍,完善胸部CT检查后发现:甲状腺巨大肿瘤导致气管受压变窄(接近闭塞),整个气道被压成了一条缝隙。如果不解决气道梗阻的问题,患者将一直需要依赖气管插管,呼吸机维持通气。
经全院多科室会诊讨论后,决定由呼吸与危重症医学科负责为患者打通气道,改善呼吸。科主任杨红忠教授立即组织呼吸ICU、呼吸介入、呼吸肿瘤等专家团队进行讨论,患者气管为外压性狭窄,必须置入气道支架,解除气道梗阻,但难点是患者气道极重度狭窄,不能脱离呼吸机,一点痰栓或者出血均可能导致患者窒息,严重时死亡。针对患者不能拨除气管导管,脱离呼吸机情况,决定采用:支架推送器从气管导管进,支气管镜从气管导管外面进入气管内,在支气管镜直视下释放支架。

但检查后,发现患者声门肿胀明显,不能同时进入气管导管及支气管镜。拨除气管插管,患者无呼吸机保障通气,且声门肿胀,极可能不能再次插入气管导管,危险性太高;而不在支气管镜下直视释放,可能导致支架位置不准确。面对困境,专家团队进行反复讨论后,决定采用测距法置入支架,测量从气管插管口到气管狭窄远端距离,支架推送器从气管插管口进入相同距离,即支架远端到达气管狭窄远端时释放支架,无需进入支气管镜同时观察,相当于“盲放”。此方法对医生技术水平提出了更高的要求。专家团队针对各类可能发生的风险进行预案,通过精准测量,各亚专科密切配合,最后成功为患者置入气道支架,一步到位。置入支架后,予以停用呼吸机,并拨除气管插管。目前患者神志清楚,气促症状明显改善。
从患者转入呼吸ICU,科室讨论,置入气道支架,到拨除气管插管,前后不过数小时。对于此类高风险、危重病人,立博体育
开辟绿色通道,由多学科团队精诚合作,快速为患者打开呼吸之门,让病人转危为安,充分体现了呼吸与危重症医学科医护团队紧密合作、迎难而上、攻克坚难的医学精神。
呼吸与危重症医学科
医德医风和医药领域腐败问题集中整治举报:
一、信息平台:立博体育|实时赛事直播与比分|权威专家分析与体育竞猜平台
二、邮寄地址:长沙市韶山南路161号立博体育
安全办,邮编:410004
三、来访接待:立博体育
安全办办公室