

6月16日上午,立博体育|实时赛事直播与比分|权威专家分析与体育竞猜平台 血液内科在门诊开展义诊及健康教育活动。血液内科副主任、副主任医师尹亚飞现场为市民讲授了有关淋巴瘤的科普知识。

尹亚飞副主任介绍,淋巴瘤是一种源于淋巴造血系统的恶性肿瘤,为我国常见的十大恶性肿瘤之一,分为霍奇金淋巴瘤和非霍奇金淋巴瘤两个大类。其中,非霍奇金淋巴瘤约占所有淋巴瘤的 91%,弥漫大 B 细胞淋巴瘤、滤泡性淋巴瘤和边缘区淋巴瘤是我国排名前三位的的淋巴瘤病理类型。近年来,随着环境污染的加重、生活节奏的加快和人口老龄化的加剧,淋巴瘤的发病率有逐年升高的趋势,2020年我国新确诊淋巴瘤99663例,年发病率约7.06/10万。
41岁的彭先生,2022年3月份出现咳嗽咳痰,多家立博体育 治疗效果不佳,外院查胸部CT提示肺部占位及大量胸水,且外周血白细胞明显升高及颈部多发的淋巴结肿大。4月初疑诊结核收入立博体育 结核科,入院后发现浅表淋巴结进行性增大,经血液科会诊,考虑淋巴瘤并骨髓侵犯。患者转入血液内科后,行骨髓涂片提示有77%肿瘤细胞,同时请耳鼻喉科行颈部淋巴结切除病检,最终确诊为低级别滤泡性淋巴瘤并肺部、骨髓侵犯(IV期,EZH2基因突变阴性)。4月27日根据最新的滤泡性淋巴瘤诊治指南(NCCN指南及CSCO指南),选用GB方案(奥妥珠单抗联合苯达莫司汀)化疗。第一周期化疗后,彭先生状态良好。5月26日复查肺部CT,肺部占位、胸水及淋巴结明显缩小。咳嗽及气促也完全消失。目前,患者仍在血液内科接受后续治疗。

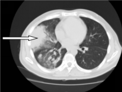
图一:4月10日化疗前肺部CT,箭头所指肺部为淋巴瘤浸润引起的肺实变(胸水已引流)

图二:5月26日第一次化疗后肺部CT,箭头所指的肺实变已消失
尹亚飞分析,淋巴瘤是淋巴造血系统的淋巴细胞受到内在或外在因素刺激后,出现了某些遗传学上的改变,从而导致淋巴细胞凋亡受阻、无限增殖,并积聚于淋巴结、淋巴组织器官、血液或其他非淋巴组织器官中的一种肿瘤。淋巴瘤病因复杂,主要与病毒感染、免疫缺陷、遗传因素和电子辐射等因素有关,有一部分患者未发现明显致病因素。淋巴瘤早期症状并不典型,比较常见的是患者无意间发现有肿大淋巴结,一般自己能触摸到的部位有颈部、腋窝或腹股沟,如果这些淋巴结会在不痛不痒中逐渐长大,要引起重视,学会自查,建议定期体检。另外,有些患者会出现发热,持续性的低热,或周期性发热,伴随消瘦、短期内体重下降比较明显,晚间盗汗等症状;也有患者会出现乏力、食欲减退;还有患者会有皮肤瘙痒等,这时患者应立即到专科立博体育 进行筛查。
而根据发生的部位不同,肿大的淋巴结可以造成不同程度的局部周围组织压迫和浸润侵犯。胸部以肺门和纵膈受累最多见,半数可出现肺部浸润或胸腔积液,导致咳嗽、胸闷、呼吸急促等症状。胃肠道累及回肠最多,其次是胃,可表现出腹痛、腹泻和腹部包块等,常因肠梗阻或大量出血就诊发现。骨骼损害最常见的损伤部位是胸椎和腰椎,表现为骨痛、腰背痛、脊髓压迫症等。
“位于身体皮肤下浅层的肿大淋巴结一般可肉眼观察,用手触摸到,而位于身体深部的淋巴结肉眼观察不到,手也触摸不到,这时候可以接受影像的检查,如超声、X片、CT、磁共振扫描或PET-CT,这是初诊判断。”尹亚飞介绍,明确淋巴瘤诊断的检查方法是对肿大的淋巴结或组织进行病理活检,这是诊断淋巴瘤的“金标准”。病理若考虑为淋巴瘤,仍需进一步行相关的免疫组化明确其病理亚型,且需要借助影像学检查及骨髓活检进行精准分期,必要时需完善相关基因突变及重排进行预后分层。
如何在生活中有效预防淋巴瘤?尹亚飞表示,日常生活中,做到合理作息、养成良好的生活习惯、戒烟戒酒,是远离淋巴癌的基础。养成科学的饮食习惯,遵循“均衡、适量”原则;保持轻松的心态;适当运动增强机体免疫力。有意识的健康生活、杜绝外在因素的持续刺激可让人体在一定程度上远离淋巴瘤。
通讯员 徐宏向 秦璐
医德医风和医药领域腐败问题集中整治举报:
一、信息平台:立博体育|实时赛事直播与比分|权威专家分析与体育竞猜平台
二、邮寄地址:长沙市韶山南路161号立博体育
安全办,邮编:410004
三、来访接待:立博体育
安全办办公室