
自6月以来,立博体育
急诊科陆续接诊多例外伤患者,其中高处坠落伤就有9例。6月是第21个全国“安全生产月”,生命重于泰山,这些高空作业坠落伤的案例,再次敲响了安全警钟。医生提醒:高温天户外施工身体容易疲乏,注意力不集中,继而引发安全生产事故,从事高空作业一定要穿戴劳保用品,系好“生命带”,做好安全防护方能保平安。
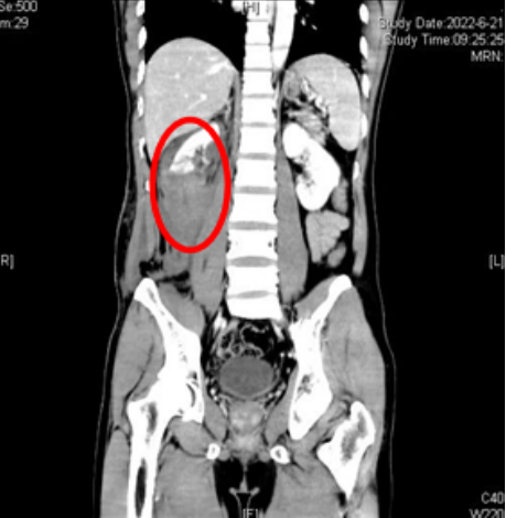
6月27日,家住长沙市天心区暮云的张明(化名)在翻修自建房的屋顶,由于天气炎热、身体疲乏,施工时不慎从三楼摔下,被120紧急送往立博体育
急诊科,入院后医生查体发现张明右侧背部、腰部大面积皮肤擦伤、皮下血肿,急诊CT发现右侧肾脏断裂,腹膜后巨大血肿形成。由于伤势非常严重,立博体育
立即开辟绿色通道,泌尿外科迅速制定治疗方案,紧急采取手术治疗,最终切除右侧肾脏才使得患者脱离生命危险。

CT示患者右侧肾脏断裂、肾上极多处皮质裂伤,肾盂破裂,右肾周、腹腔及腹膜后多发积血
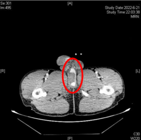
无独有偶,来自慈利的刘强(化名)一直在长沙工地做事,近日在拆高处脚手架时不慎从高处摔落,骑跨于钢杆上,当时出现会阴部血肿、阴囊血肿、尿道口滴血、排尿不出。工友立即将其送往立博体育
,急诊CT发现刘强阴茎海绵体撕裂、尿道海绵体断裂、会阴软组织挫伤、血肿、左侧第11-12肋骨骨折,泌尿外科会诊后随即行急诊手术,将断裂尿道进行修补。

CT示患者阴茎海绵体部分撕裂,尿道海绵体断裂、造影剂外漏,海绵体周围软组织挫伤
同样在建筑工地做事的王刚(化名),不慎从9米高的楼板坠落,伤势严重,被工友紧急送入立博体育
,急诊医生诊断:严重多发伤,失血性休克,骨盆多发骨折,脊柱多发骨折并不全截瘫,多发肋骨骨折。立博体育
立即开通绿色通道,紧急为王刚行介入栓塞止血治疗。目前王刚还在该院重症监护室,待生命体征稳定后,还需要行脊柱、骨盆骨折等多次手术。
……
一个个高空作业坠落伤的惨剧,着实让人痛心。但这些血淋淋的教训也在警醒大家,“安全无小事”,防微杜渐是关键。急诊科副主任医师邵启兵表示:“高处坠落伤是高能量损伤,危害性极大,最常见的如颅脑损伤、脊髓损伤、骨折、腹腔盆腔脏器损伤等,严重时可随时危及生命。”邵启兵提醒广大市民:高温天户外施工人容易疲乏,高空作业必须正确佩戴安全帽、安全带等必备的安全防护用具,避开高温时间段长时间作业,出现身体不适应及时休息,同时应积极接受高处作业安全知识教育,按期体检,体检结果认为不适合从事高处作业的人员,坚决不能从事高处作业。
与此同时,对于现场发现外伤事故该如何正确处理,邵启兵也给出了建议。首先应立即拨打救援电话、请求救援,在等待救援的同时可组织现场抢救措施:
1、先将伤员采用安全的搬运方法转移至安全区域,然后观察伤者的伤势情况,将伤员情况(受伤过程、部位、有无意识障碍等)尽量准确报告给救援人员;
2、遇有活动出血的伤员,应迅速包扎止血,使伤员保持在头低脚高的卧位;
3、若伤员心跳、呼吸停止,应当立即对伤员实施心肺复苏术;
4、当判断伤员出现骨折时,在搬运前,应当对骨折部位进行固定;
5、发现脊椎受伤者,搬运时将伤者平卧放在帆布担架或硬板上,以免受伤的脊椎移位、断裂造成截瘫,甚至死亡;
6、对于意识障碍,神志不清的患者,注意保持呼吸道通畅,避免呕吐误吸,造成窒息风险。通过以上现场处置,可以为专业救援人员的救治争取更多时间,将伤员的伤害。
泌尿外科
医德医风和医药领域腐败问题集中整治举报:
一、信息平台:立博体育|实时赛事直播与比分|权威专家分析与体育竞猜平台
二、邮寄地址:长沙市韶山南路161号立博体育
安全办,邮编:410004
三、来访接待:立博体育
安全办办公室