
脑干出血是神经系统急重症,是脑出血中最凶险、死亡率最高的出血类型,占脑出血的10-15%,患者常常在发病数秒至数分钟内即陷入昏迷。由于脑干位于颅内的位置深,内有大量的神经核团和上下行传导束,循环和呼吸的中枢也在其中,其功能重要又复杂,因此被公认为是最难救治的神经外科疾病之一。
2020至2022年,立博体育
神经外科突破“生命禁区”,应用立体定向脑干血肿清除术,成功救治数十名脑干出血患者,收获了患者及家属“命悬一线,妙手回春”的好赞誉,也标志着立博体育
神经微创技术再上新台阶。
6月25日上午,42岁的吴深(化名)因突发脑干出血致深度昏迷,被120紧急送至立博体育
神经外科。根据家人提供的既往病史,吴先生患高血压已有7年,期间没有规范服用降压药,早晨因家人久唤不起发现异样,这才及时拨打了120送至立博体育
。
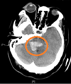
神经外科主要负责重症监护室(NICU)工作的副主任医师黄云峰介绍,患者入院时神志昏迷,自主呼吸微弱,需依赖气管插管呼吸机辅助呼吸,角膜反射等脑干反射均消失,CT显示脑干-小脑出血达10毫升,这种出血量属于重型脑干出血。“一旦脑干出血超过5毫升、病人昏迷,手术便成了最后一根救命稻草,同时,手术的风险也可想而知。”黄云峰说道。

图为CT显示患者大量脑干出血(黄色标注区域)
神经外科副主任、主任医师樊天禹迅速组织团队讨论,仔细评估了患者的病情后,樊天禹指出,患者是晚上睡梦中陷入昏迷,晨起被家人发现再送往立博体育 ,表明脑干出血已超过6小时,此时血肿已经稳定,不是活动性的,所以应该是进行穿刺手术、吸出血肿的好时机。这是一种利用定向导航仪精准定位,进行穿刺将血肿抽吸出来的治疗方式,可以避免开颅时造成的额外损伤。该手术的难度在于神经外科医生对手术时机的把握和对手术精细化操作细节的控制。除此以外,麻醉医生的作用也很关键,该手术要求俯卧位,且手术过程中患者随时都有心跳呼吸停止的可能,因此麻醉医生的挑战也不小。
术前手术计划切口,位于枕部 术后切口长约3cm,脑干引流管内可见瘀血
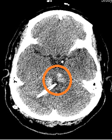
经过前期充分准备,手术如期开台。该手术由神经外科副主任医师黄云峰主刀。通过头颅CT扫描定位,黄云峰精密规划了最佳穿刺路径,确定手术入路,做到既能直达血肿腔,又能避开重要的血管及神经,不对周围的脑组织功能产生影响。随着引流管的精准置入,暗黑色的脑干淤血随引流管顺利流出,监护仪上患者的生命指征始终保持平稳。手术历时90分钟,这场与死神博弈的手术最终在神经外科手术团队、麻醉医生以及麻醉手术科护理团队的高效配合下获得了成功。

图为术后CT,引流管位置精确到位,提示颅内血肿清除彻底
术后患者被送回神经外科重症监护室接受进一步治疗。“手术成功是第一步,接下来围术期病情管理同样至关重要。”黄云峰介绍,为了降低并发症风险,神经外科重症监护室医护团队为患者制定了个性化治疗护理方案。护士做护理操作时,时刻保持患者头部引流管干洁,杜绝留置引流管期间发生颅内感染,保持引流管伸展性,防止绷太紧影响位置移动。根据颅内压监测制定最佳脑灌注压,通过动态调节平均动脉压使其达到目标值。气道管理上,每两小时翻身,通过摆放不同体位促使痰液往低位引流并及时吸出。通过精心救治,患者闯过层层难关,术后第2天瞳孔对光反射恢复;术后第6天完全恢复了自主呼吸、脱离了呼吸机;术后第15天,患者苏醒,可配合伸舌、握手、抬腿;术后第17天,患者顺利转到普通病房,进而转入康复医学科接受康复治疗。
当知道自己的丈夫转危为安,患者吴深的妻子文女士(化名)眼含热泪地向神经外科的医生护士们表示万分感谢,她说:“丈夫一直是家中的顶梁柱,现在家里上有老下有小,两个孩子又未成年,如果丈夫真的一病不起,那真是不敢想象。”
为何脑干被称作“生命禁区”?
黄云峰介绍,人体的颅脑功能大体可做以下分工:大脑属于智能中枢,起统帅作用;下丘脑主管内脏、内分泌调节功能;小脑主管平衡和运动协调;脑干则是维持呼吸、心跳、消化、意识觉醒等人体基本生命活动的原始中枢,既被称为“活命中枢”,也被称为“生命禁区”。

成人的脑干体积通常在15-20立方毫米,约莫一个山核桃大小。如果脑干出血,出血约2-3毫升就可引起严重后果,5毫升以上就是重型脑干出血,具备手术指针。长久以来,脑干被视为医学的“手术禁区”,这是因为脑干体积很小,却又是神经纤维的富集区,密布各类神经中枢。
“如果把脑干比喻成鸡蛋,那么血肿相当于蛋黄位置。”黄云峰分析,清除脑干血肿临床医学大约有三种方法:第一种方法是保守治疗,但这种方法不能处理脑干大量出血,因为大量出血引发的后果非常严重,包括脑水肿加重,进而压迫到生命中枢,引起心跳呼吸停止、死亡,或者会影响到脑干网状结构上行系统,对于重型脑干出血而言,这种治疗方法不啻于生命倒计时。第二种方法是开颅手术,但这种方法手术路径上难免会波及其他正常脑组织,造成邻近结构损伤,可能造成部分严重的神经功能障碍,正所谓“杀敌一千,自损八百”。第三种方法则是微创手术治疗。随着临床医学显微器械、导航技术不断革新,通过显微手术成功救治的案例逐年上升。立体定向下血肿穿刺清除术是利用脑外科立体定向系统,精确计算出手术路径和穿刺点,以一根圆珠笔芯粗细的针管,吸出颅脑内的血肿。这种微创手术最大的优点就是精准且损伤最小。
当前,立博体育
神经外科通过前期动物实验,应用立体定向下血肿穿刺清除术摸索出了成功经验,已成功开展逾50例脑干出血病例的救治,其中十余例患者短期内即苏醒,治疗效果突出。
生活中预防脑干出血,这些高危因素请注意!

黄云峰表示,不仅“脑干出血”危险,任何脑出血都十分危险。脑出血的原因与先天因素及血管壁发育有一定关系,后天因素则主要与高血压、高血糖、高脂血症相关联。“一旦人体血压过高,会对血管壁造成冲击,时间久了就会在血管壁上形成一些‘小瘤’。当遇到突发因素时,这些‘小瘤’就会破裂,造成脑出血。”黄云峰说道。
此外,人们的某些不良习惯,例如长期食用高脂肪、高蛋白、高热量的食物,会令血脂增加、血压升高,加大脑出血概率;长期酗酒和抽烟可导致脑血管扩张或收缩,使脑血管变脆,极易导致破裂出血;还有过度疲劳时,精神会高度紧张,从而导致血压升高,心率加快,增加脑出血的风险。如果在劳累的基础上再加之情绪的波动,就更容易导致脑出血的发生了。
黄云峰提醒,一旦脑出血急性发作,患者会出现肢体瘫痪、意识障碍等症状。这时,请立即就医,不要耽搁。脑出血早期及时治疗,可以将危险减到最低。
记者 秦璐 (指导专家:黄云峰 神经外科副主任医师)
医德医风和医药领域腐败问题集中整治举报:
一、信息平台:立博体育|实时赛事直播与比分|权威专家分析与体育竞猜平台
二、邮寄地址:长沙市韶山南路161号立博体育
安全办,邮编:410004
三、来访接待:立博体育
安全办办公室