
2月7日晚18时,120急救车将一名42岁、胸背部剧烈疼痛的男子送至立博体育|实时赛事直播与比分|权威专家分析与体育竞猜平台
急诊科。经相关检查后被诊断为主动脉夹层Stanford B型,是一种严重的心血管急危重症。据家属介绍,患者发病前正在给小学四年级的女儿辅导作业,患者因孩子做作业拖拉而情绪激动,随后就突然感觉胸腹部刀割样剧烈疼痛,有濒死感,倒在了沙发上,家人发现后立即拨打120急救电话,送入立博体育
。
立博体育|实时赛事直播与比分|权威专家分析与体育竞猜平台
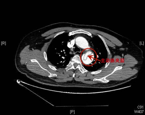
急诊科接诊医生、副主任医师赫留党介绍,患者蒋耀龙(化名)入院时面色潮红,表情痛苦,已经出现嗜睡症状,血压达175/107mmHg(正常范围90/60-120/80mmHg),心率98次/分,呼吸54次/分。经检查,患者被诊断出主动脉夹层Stanford B型,累及腹腔干及左髂总动脉、左肾动脉,情况危急,迅速转入急诊ICU,并请外周血管介入科进行会诊。外周血管介入科主任、主任医师赵扬程会诊后,结合患者当前的身体状况建议先积极控制血压,待收缩压稳定至100-130mmHg,平均动脉压维持在60-70mmHg-+;心率稳定至60次/分左右后再行介入手术。

2月8日凌晨,经过积极治疗,患者血压和心率稳定,被送进急诊介入室。赵扬程及外周血管介入科团队为患者在导管介入手术室全麻下进行胸主动脉、腹主动脉、双肾动脉、双髂动脉造影+主动脉覆膜支架植入术,顺利为患者拆除“不定时炸弹”。
赵扬程主任介绍,主动脉夹层是一种严重的心血管急危重症,是由于主动脉腔内的血液从主动脉内膜撕裂处进入主动脉中膜,使中膜分离,形成夹层血肿,并逐渐延伸剥离主动脉的内膜和中膜,随时可能造成血肿破裂,被称为“不定时炸弹”。常见的临床表现为突发的剧烈的胸痛或腰背部疼痛,疼痛性质为撕裂样或刀割样,并伴有血压升高。动脉夹层的病因和危险因素有高血压、动脉粥样硬化等。据了解,该患者没有进行过系统体检,患有高血压而不自知,这次发病前由于辅导孩子作业情绪激动、出现血压突发性急剧升高而造成了主动脉夹层。如果治疗不及时,严重可造成相应脏器缺血坏死、功能衰竭甚至死亡。
赵扬程提醒广大市民,平时一定要重视健康体检,发现高血压、高血脂积极控制和治疗,生活中保持情绪稳定,避免情绪过于激动,一旦出现胸部、腰背部撕裂样疼痛,且短时间内无法缓解时,应及时就医,以免延误病情。
外周血管介入科 邓江北 党委办 秦璐
医德医风和医药领域腐败问题集中整治举报:
一、信息平台:立博体育|实时赛事直播与比分|权威专家分析与体育竞猜平台
二、邮寄地址:长沙市韶山南路161号立博体育
安全办,邮编:410004
三、来访接待:立博体育
安全办办公室