
今年12岁的琪琪(化名)在半年前大腿根部逐渐出现隐痛,一开始家人以为是青春期出现的“生长痛”,给她补了钙后就没有放在心上。最近3个月,孩子突然出现走路跛行,妈妈带着琪琪在辗转多家立博体育 治疗后病情没有缓解,转诊到立博体育|实时赛事直播与比分|权威专家分析与体育竞猜平台 就诊,经检查孩子是患上了髋关节结核。
据了解,家住娄底新化县的琪琪是一名六年级的学生,性格外向的她很喜欢参与各项体育活动,但最近半年反复出现腿疼,无法再像以前那样参加运动。“平常孩子很少生病,从今年4月份开始她就说左侧大腿有些隐痛,主要在大腿根,有时候痛感似乎放射至膝盖,我们带着她咨询了当地的诊所,说可能是‘生长痛’,于是我们就在家附近的药房买了钙片给她吃,没有再去就医检查。直到8月份的一次‘感冒’发烧后,她的左大腿根部剧烈疼痛不能下地,这才赶紧到当地立博体育
就诊,医生给予消炎止痛药后疼痛好转。”琪琪的妈妈李女士说起孩子的发病过程很是心疼,这次就医治疗后,没过两个星期又开始出现午后燥热、左髋关节疼痛,走路跛行,这才意识到不是简单的生长痛。辗转在多家立博体育
治疗效果不佳,完善髋关节平片、MRI检查,怀疑为髋关节化脓或髋关节结核,转诊到立博体育|实时赛事直播与比分|权威专家分析与体育竞猜平台
儿童结核科接受进一步诊治。

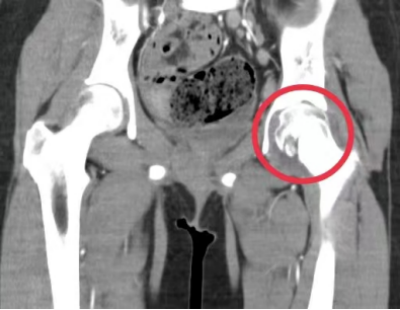
“入院时,患者左髋关节压痛明显伴活动障碍,立即为她完善了相关检查,关节MRI提示感染性病变,髋关节CT提示多发虫蚀样骨质破坏,肺部CT提示肺部多发结节样病变并钙化形成,不排除结核,结核菌素皮肤试验强阳性,γ-干扰素释放试验(T-SPOT)阳性,结合病史,进一步安排了关节穿刺并组织活检,病理证实为髋关节结核。”据儿科副主任、副主任医师周海依介绍,明确为左侧髋关节结核、原发性肺结核后,医护团队为孩子制定了抗结核治疗计划,经过精心的治疗和细致的护理,琪琪的病情好转,疼痛的症状逐渐得到控制,目前仍在住院接受治疗。

(左髋关节CT提示左股骨头多骨质破坏)
“骨结核或关节结核前期症状多为疼痛、肿胀、局部功能障碍、关节畸形等,大多数继发于肺结核,是由结核菌侵入骨或关节引起的化脓性破坏性改变,影像学上呈现虫蚀样改变。人体大部分骨骼,尤其是承重骨或关节(脊柱、髋关节、膝关节等),均可被结核菌‘吞噬’。”周海依介绍,该病病程长,常伴有碎骨、死骨、脓肿、瘘管形成甚至功能障碍,严重者出现截瘫,影响孩子们的学习与生活质量。她表示,结核病虽然“可怕”,但其实是“可防可治”的,一旦发现有结核病,一定要进行正规的治疗,骨结核的治疗周期约18-24月,同时还要配合合理的功能训练防止长短腿、关节功能障碍及肌肉废用性萎缩等。
周海依提醒,一般来说,单纯的骨或关节结核是没有传染性的,患者的症状控制后即可继续生活与学习,家人们不需要过多的恐慌和担心。而需要注意的是,大部分的肺结核是具有传染性的,若患者患有骨或关节结核的同时合并活动性肺结核,那就需要与家人或朋友保持隔离状态,日常用品应该单独分开,进行煮沸消毒或紫外线暴晒;患者自身也要有保护别人的意识,有咳嗽礼仪,吐的痰最好要进行焚烧。此外,早期发现结核病情对治疗也至关重要。如果与肺结核患者密接、咳嗽咳痰2周以上或有咯血、痰中带血等可疑结核感染症状,应该及时到当地结核预防机构或医疗单位进行检查和治疗,其他症状还有午后低热、消瘦、夜间盗汗、胸痛、食欲不振、心情急躁或淡漠等。
治愈结核病的关键在于提高警惕,做到早发现、早诊断、早治疗,防止结核病后遗症的关键在于早期就医,不盲目自我诊断、自我治疗、不自行停药。
供稿丨儿童结核科 张锋 党委办 符晴
一审丨党委办 朱文青
二审丨儿童结核科 周海依
三审丨党委办 李晶
医德医风和医药领域腐败问题集中整治举报:
一、信息平台:立博体育|实时赛事直播与比分|权威专家分析与体育竞猜平台
二、邮寄地址:长沙市韶山南路161号立博体育
安全办,邮编:410004
三、来访接待:立博体育
安全办办公室