
59岁的王越(化名)从半年前开始,进食、洗脸、刷牙时右侧脸部会发生阵发性剧烈疼痛,难以忍受。到当地立博体育 就诊,考虑为三叉神经痛,予以药物治疗。可是脸痛并未缓解,王越的症状进一步加重,严重影响了他的生活。
“难道不是三叉神经痛?”于是,王越又辗转多家立博体育 求医,最后来到立博体育|实时赛事直播与比分|权威专家分析与体育竞猜平台 神经外科门诊就诊。神经外科副主任、主任医师樊天禹接诊后,对王越进行了详细的问诊、查体,并完善常规检查和影像检查。其中核磁共振影像发现颅内肿瘤,可以判断引发他面部疼痛的“始作俑者”是颅内肿瘤压迫所致。
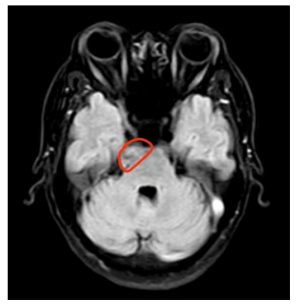
影像阅片时,樊天禹告诉患者,他的颅内肿瘤位于右侧桥小脑角区,该位置位于脑干及小脑之间,有重要的血管、颅神经,肿瘤的大小约有2cm,治疗方法建议手术切除。

核磁共振影像结果显示颅内肿瘤
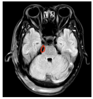
经过周密的术前准备,以神经外科副主任、主任医师樊天禹、副主任医师王红鑫为主的手术团队为患者进行了颅内肿瘤切除术。术中发现患者的肿瘤已侵犯多处脑神经,三叉神经受压尤其严重,肿瘤与周围组织黏连严重,且有多处血管阻断了手术视野,手术难度加大,稍有不慎将会导致严重的神经功能障碍,甚至危及患者生命。手术团队沉着应对,经过仔细辨认、耐心分离,历时3小时,肿瘤被全部切除,手术顺利结束。术后,王越醒来后感觉脸部疼痛消失,医生详细检查确认无面瘫等神经功能障碍。复查核磁共振,影像显示肿瘤切除干净,病检报告提示为颅内胆脂瘤,为良性肿瘤。

术后核磁共振影像结果显示肿瘤切除干净
“谢谢医生解除了我的脑瘤‘炸弹’,这下脸再也不会痛了,终于可以和过去糟糕的生活说再见!”查房时,王越向樊天禹等神经外科的医生表示感谢。樊天禹介绍,一侧脸部疼痛,尤其是进食、洗脸、刷牙时出现阵发性剧痛,首先考虑为三叉神经痛。三叉神经痛是最常见的脑神经疾病,这种发生在面部三叉神经分布区内反复发作的阵发性剧烈神经痛,会让患者痛到不敢擦脸、进食,甚至连口水也不敢下咽,严重影响生活与工作,因此被称为“天下第一痛”。其疼痛性质可为针刺样、刀割样、电击样、烧灼样,多有触发点。刚开始时疼痛短暂,突发突止,但随着病情进展,疼痛时间逐步延长,且难以缓解。
“三叉神经痛根据发病原因不同分为原发性和继发性。”樊天禹分析,原发性三叉神经痛多由血管压迫所致,目前最好的治疗办法是微血管减压术。而继发性三叉神经痛多由颅内肿瘤等引起,治疗办法为肿瘤切除。该名患者的三叉神经痛由颅内胆脂瘤压迫引起。颅内胆脂瘤又称为颅内表皮样囊肿、珍珠瘤,起源于异位的胚胎上皮细胞。该肿瘤的病程缓慢,且囊肿涉及范围广,症状及体征常很轻微或模糊,因此,诊断及定位有具体难度。樊天禹介绍,临床治疗中,颅内胆脂瘤以手术切除为原则,且争取全切除,因为囊肿包膜是生长最活跃的部分,容易复发。
“生活中,如果市民出现一侧颜面部的疼痛、麻木等症状无法缓解、不断加重,不要拖延,应尽早就医。”樊天禹表示,多数患者经过及时的治疗,预后良好,恢复满意。
供稿丨神经外科 王红鑫 党委办 秦璐
一审丨党委办 朱文青
二审丨神经外科 樊天禹
三审丨党委办 李晶
医德医风和医药领域腐败问题集中整治举报:
一、信息平台:立博体育|实时赛事直播与比分|权威专家分析与体育竞猜平台
二、邮寄地址:长沙市韶山南路161号立博体育
安全办,邮编:410004
三、来访接待:立博体育
安全办办公室