立博体育

  • 订阅号
  • 服务号
您现在的位置: 立博体育 > 新闻纵览 > 健教聚焦
健教聚焦
创卫进行时丨25岁小伙持续听力下降,竟然是“耳硬化症”
发布日期:2024-02-28

  今年25岁的小伙刘峰(化名)从三年前开始出现听力下降,三年间辗转多家立博体育 就医,却没找到听力下降的原因。春节前夕,在亲戚的推荐下,刘峰来到立博体育|实时赛事直播与比分|权威专家分析与体育竞猜平台 耳鼻咽喉头颈外科就诊,完善相关检查后,立博体育 冯永教授凭借丰富的临床经验,考虑其患上的是“耳硬化症”。

  据了解,家住邵阳的刘峰是一名建筑工程的从业人员,三年前开始出现不明原因的听力下降,且逐渐加重,进而发展到无法听清别人说话,给他的工作和生活带来极大的困扰。在当地立博体育 求医无明显效果后,慕名来到立博体育|实时赛事直播与比分|权威专家分析与体育竞猜平台 耳鼻咽喉头颈外科,找到湖南省耳鼻咽喉学科领军人才、人工耳蜗植入先驱冯永教授求诊。冯永教授仔细询问了刘先生的病史,为他安排了听力检查,发现他双耳重度传导性耳聋,气骨导听力差距明显,建议他住院查明原因和进一步治疗。

  “入院时,患者右耳听力下降更为明显,建议先行耳内镜下右耳鼓室探查,术中探查若证实为耳硬化症,则建议行人工镫骨手术来恢复患者听力。”在冯永教授的带领下,耳鼻咽喉头颈外科耳科专家团队杨中纯博士、康晓明博士为刘先生进行耳内镜下右耳鼓室探查,术中证实锤骨砧骨活动度好,镫骨固定不动,与术前考虑的一致,确诊为耳硬化症。目前,临床上针对耳硬化症最常用、有效的治疗方式是手术治疗,需在显微镜下或耳内镜的辅助下,将镫骨切除,然后安装人工听骨。

  诊断明确后,手术团队为刘先生进行“耳内镜下右人工蹬骨植入术”。术中,在进行镫骨底板钻孔时突然出现大量脑脊液井喷,考虑外淋巴液与脑脊液之间存在异常通道的可能,而耳硬化症并发脑脊液耳漏在临床上极为罕见,文献中也仅有零星报道,立博体育 也是首次遇到镫骨打孔后脑脊液井喷的情况,无疑给手术带来更大的挑战和难度。冯永教授凭借丰富的临床经验和精湛的技术成功取出原来已经固定的病变镫骨,并封闭前庭窗修复脑脊液耳漏后植入人工镫骨,整个过程如履薄冰,手术顺利完成,术后刘先生初测听力明显好转,没有脑脊液耳漏和眩晕的情况,过几天即可出院回家。

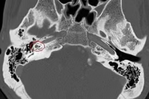
(影像资料提示耳内病灶部位)


  “耳硬化症是一种原因不明的原发性的以骨迷路包囊内形成海绵样变性为病理特征的疾病。”立博体育|实时赛事直播与比分|权威专家分析与体育竞猜平台 耳鼻咽喉头颈外科主任、副主任医师敬前程介绍,随着这种病理性骨灶蔓延,侵犯镫骨底板,使它固定在卵圆窗上,声音由鼓膜、听骨传达到这里,就不能再向内耳传过去了,声音传导受阻,表现为传导性聋。早期多表现为单耳听力下降,随时间进展可累及双耳,部分患者可伴有耳鸣,还有部分患者在安静环境下听不清,反而到了比较嘈杂的环境中听得更清楚,医学上称作“韦氏误听”现象。

  “目前耳硬化症还没有非常有效的预防措施及药物治疗,人工镫骨植入术是首选的治疗方法,通过手术重建听骨链后,大都可以改善听力,该病与家族遗传因素、病毒因素、内分泌因素、免疫因素有一定的关系。”敬前程主任提醒,如果发现有耳鸣以及听力下降症状,应及时去立博体育 检查,尽早干预避免不可逆的损失。



科室简介

立博体育|实时赛事直播与比分|权威专家分析与体育竞猜平台 耳鼻咽喉头颈外科技术力量雄厚,医疗设备先进,是国家临床重点专科培育项目,湖南省临床重点专科建设项目,拥有2个病区及1个研究所。团队医师21名,其中博士11名,博导1名,硕导4名,享受国务院特殊津贴专家1名,在研国自课题3项,各类课题总经费1200万元,指导在读博士及硕士16人。临床分四个亚专科方向,耳科收治:各类鼓膜穿孔、分泌性中耳炎、急慢性中耳炎、中耳胆脂瘤、面瘫、耳硬化症、先天性耳聋、先天性耳畸形、耳聋、突聋、眩晕、面神经疾病、耳肿瘤、复杂耳外伤等;耳科常规开展人工耳蜗植入术,显微镜及耳内镜下各种类型的中耳炎手术、鼓室成型术、耳良恶性肿瘤手术、面神经减压术、侧颅底肿瘤手术、耳畸形矫正等。

供稿丨耳鼻咽喉头颈外科 康晓明
一审丨党委办 朱文青
二审丨耳鼻咽喉头颈外科 敬前程
三审丨党委办 李晶