
今年67岁的刘建勋(化名)近一年来反复出现咳嗽、咳痰、气促等不适,特别是最近半个月,情况越来越严重,还出现了持续发热伴胸痛症状。家人送他到立博体育|实时赛事直播与比分|权威专家分析与体育竞猜平台 呼吸与危重症医学科就医后发现,原因竟是刘大爷左下支气管里“住”了一块猪骨头,而这个猪骨头很有可能已经在老人气管里安家一年了。
刘建勋家住娄底双峰县,三年前检查出患有慢性支气管炎病史,每次有症状时用点消炎止咳药就会有所缓解。但在最近半个月,刘建勋服用药物后咳嗽、气促症状并无好转,而且出现反复发热、胸痛症状。3月9日,他在家人的陪同下来到立博体育|实时赛事直播与比分|权威专家分析与体育竞猜平台 呼吸与危重症医学科就诊。呼吸与危重症医学科副主任、副主任医师刘达仔细询问病史,结合CT检查发现他的左下支气管有一块阴影,痰病原学检测为口腔定植菌,考虑支气管异物可能性大,建议刘大爷做一个肺部纤维支气管镜的检查以明确诊断。

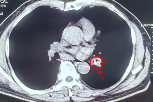
(影像检查发现患者的左下支气管有一块阴影)
3月11日,医生为刘大爷行纤维支气管镜检查,镜下见左下支气管的管腔基本堵塞,生理盐水冲洗后发现一个异物嵌顿紧密,在医护人员的紧密配合下,经过多次小心翼翼的尝试,异物终于被取出。清洗干净后,医生发现异物竟然是一块长约1.2cm的猪骨头。
刘大爷回忆,大概是去年的3月,他在吃饭时边跟家人聊天,喝骨头汤时不小心发生了呛咳,当时感觉有东西卡在喉咙,反复使劲咳嗽后,不适的感觉有缓解,他也没太放在心上。没想到的是,一年时间过去了,吸入的猪骨头竟在他的气管内“安家落户”了。

(医护人员为其行纤维支气管镜取出的异物)
“老年患者因吞咽反应差、感觉不灵敏等,异物吸入气道时咳嗽反射减弱,很容易导致异物进入气管。”刘达介绍,支气管异物所表现出的临床症状及体征,主要取决于支气管阻塞的部位、程度及其并发症,并与异物大小、性质、停留时间及支气管的反应情况有关。若异物较大、阻塞气管或靠近气管分支的隆凸处,可使两侧主支气管的通气受到严重障碍,发生严重呼吸困难,甚至窒息、死亡;若异物在气道内滞留时间较长,可形成炎性肉芽肿,导致气道阻塞引流不畅而继发支气管炎、肺部感染、肺不张,严重时可导致窒息。
刘达提醒,老人和小孩在进食时,最好不要吃得太快或大口吃饭,尽量避免进食时聊天大笑或剧烈咳嗽,吃饭要细嚼慢咽,特别是老人,尽量不要躺着吃饭或喝水,以免因呛咳导致异物进入气管,而引发肺部问题。
通讯员 谌妮 符晴
医德医风和医药领域腐败问题集中整治举报:
一、信息平台:立博体育|实时赛事直播与比分|权威专家分析与体育竞猜平台
二、邮寄地址:长沙市韶山南路161号立博体育
安全办,邮编:410004
三、来访接待:立博体育
安全办办公室