
来自湖南娄底37岁的袁江(化名)向来身体不错,在当地县城经营一个早餐店已有多年。10天前,他出现了乏力、食欲减退症状,本以为是个小感冒,没想到数日后迅速发展为“白肺”住进了ICU,医生追踪其病因,发现他感染了“耐多药多器官重症结核”。
据袁江家人描述,3月2日,袁江像往常一样工作,但感觉浑身无力也没有胃口,以为得了个小感冒,就没有太在意。两天后,袁江的不适加重,在家休息了两天并没有缓解。3月12日,袁江开始发烧,体温上升至38℃左右,稍微活动一下就呼吸急促。3月14日他前往当地立博体育
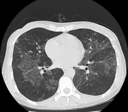
就诊,胸部CT显示双肺弥漫性病变,考虑感染性病变,需要住院诊治。

住院后,在短短2天时间内,袁江的病情以惊人的速度恶化了:反复高烧,体温屡屡超过39℃,伴随剧烈咳嗽,呼吸困难进行性加重,胸部CT复查显示双肺病灶明显增多,呈现“白肺”样改变。由于病情危重,3月17日,袁江由当地立博体育
转入立博体育|实时赛事直播与比分|权威专家分析与体育竞猜平台
结核重症监护室,经过快速精准的诊断,袁江被诊断为“耐多药多器官重症结核病”。在结核重症监护室里经过不到一周的系统治疗,袁江病情稳定,从监护室转入耐药结核科病房。
结核重症监护室主任、主任医师傅满姣介绍,袁江患上耐多药多器官重症结核病的原因,可能是与他的工作环境有关,因为餐饮店的工作性质,他需要从早忙到晚,常年的过度劳累、加上餐饮店人来人往,空气不流通导致了他的免疫力降低。

重症结核 危及生命
傅满姣主任介绍,结核病如果没有及时发现和治疗可能会发展为重症结核病,导致危及生命。常见的如肺结核不及早诊治,结核菌侵犯双侧肺部,出现呼吸衰竭、大咯血窒息等现象。也可以侵犯全身其它各器官,如侵犯颅脑的结核性脑膜炎可出现昏迷,侵犯肠道的肠结核可出现消化道大出血,甚至肠穿孔,侵犯骨骼系统的骨结核可出现骨质破坏、截瘫现象。除了指甲和毛发不感染结核病,其它部位均可发生并出现相应症状。
此外,结核病患者感染的结核菌并不都是一样的情况,例如有种结核菌对我们最常使用的抗结核药物异烟肼和利福平均无效,产生耐药,感染了这种结核菌就是我们常常讲的耐多药结核病。袁江不仅因为体内的结核杆菌几乎侵犯了双侧所有的肺组织导致了呼吸衰竭、急性呼吸窘迫综合征,同时他体内的结核杆菌还侵犯了肺、肠道、泌尿系统和脑多个器官和部位。此外,他的耐药基因检测还显示他体内的结核菌同时对异烟肼、利福平和链霉素三种抗结核药物耐药,病情更为危重,治疗更为棘手,从而住进了重症监护室。

“近年来,重症结核病的发病率呈逐年增高趋势,其治疗难度大、疗效差、费用高、时间长,死亡率可高达60%,虽不常见但后果严重,应引起广大市民及临床工作者的重视。”傅满姣主任表示,无论是重症结核病、耐药结核病还是多器官结核病,都是可防可治的。一方面,要注意自我防护,如年轻人过劳会导致免疫力下降容易感染结核病,要注意休息;如长时间处在人口密集,封闭的环境下也会增加感染结核病的概率,要注意开窗通风。另一方面,要尽早地发现病人,给予“早期、规律、全程、联合、适量”的规范化治疗,使结核病人尽早地、彻底地失去传染性,从而减少结核病的传播和流行,降低结核病对社会公共卫生安全的危害和威胁。
傅满姣主任提醒,一旦出现不明原因的消瘦、乏力、咳嗽、咯血、午后发热、盗汗等结核病的可疑症状,应及时到结核病专科立博体育
进行诊断并根据药物敏感结果及肝、肾功能等情况制定合理治疗方案。患者应规律用药,坚持满疗程,遵医嘱定期复查评价疗效并监测药物不良反应,争取达到最佳治疗效果。
供稿丨结核重症监护室 康怡
一审丨结核重症监护室 傅满姣
二审丨宣传部 陈颖
三审丨宣传部 周阳
医德医风和医药领域腐败问题集中整治举报:
一、信息平台:立博体育|实时赛事直播与比分|权威专家分析与体育竞猜平台
二、邮寄地址:长沙市韶山南路161号立博体育
安全办,邮编:410004
三、来访接待:立博体育
安全办办公室