
56岁的常先生(化名)一年前出现活动后气促明显,辗转求医后未能明确病因,近日,因气急、胸闷明显加重,到立博体育|实时赛事直播与比分|权威专家分析与体育竞猜平台
住院接受治疗,胸部CT显示双肺弥漫性病变,诊断出“牛奶肺”,接受灌洗治疗后,医生从他的肺里洗出了14800ml的“牛奶”状液体。
据了解,常先生在长沙某建筑工地做事,三年前体检发现双肺斑片状、磨玻璃影,其间辗转各家立博体育
检查,肺部病灶逐步进展,但未能明确诊断。1年前,他在进行上楼等活动后,气促症状明显,严重影响生活质量。近一周来,常先生病情日益加重,走路都很困难,来到立博体育|实时赛事直播与比分|权威专家分析与体育竞猜平台
呼吸与危重症医学科求诊。入院时,医生发现常先生血氧饱和度仅为60%(正常人是95%以上),胸部CT显示双肺弥漫性病变,血气分析提示严重I型呼吸衰竭,查体双肺可闻啰音(弥漫性肺间质纤维化患者吸气后期出现的声音),杵状指(部分晚期患者可出现此症状)。科室迅速完善支气管镜活检,诊断其为肺泡蛋白沉积症,俗称“牛奶肺”。

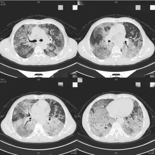
患者入院时肺部广泛弥漫性病变
“肺泡蛋白沉积症是以肺泡表面活性物质灶肺泡巨噬细胞和肺泡腔内异常沉积导致的以呼吸困难为主的弥漫性肺疾病,是罕见的呼吸系统疾病。”据呼吸与危重症医学科主任、主任医师杨红忠介绍,肺泡蛋白沉积症可分为原发性、继发性和先天性,原发性是目前发病率最高的类型,但也需警惕继发于血液系统疾病、恶性肿瘤等所致的继发性肺泡蛋白沉积症,主要症状为胸闷、呼吸困难、咳嗽、咳痰、咯血等,临床症状及体征轻,影像学表现重,肺部CT表现为“铺路石”“地图样”改变。
“目前主要治疗方案为全肺灌洗和粒细胞-巨噬细胞集落刺激因子治疗。其中大容量肺泡灌洗术是一种确切有效的治疗手段,而此类手术需要强大的麻醉支持,具有一定的风险,需要医疗团队密切协作才能完成。”科主任杨红忠、副主任刘胜岗和副主任医师刘超群等组成的专家团队充分讨论后,决定为他进行大容量肺泡灌洗术,在全麻支持下双腔气管插管单肺通气下,前后进行了左肺及右肺两次大容量肺泡灌洗。每次历时5小时,每侧灌洗恒温生理盐水15000ml,回收14800ml,回收率达98.7%。手术很顺利,常先生被转回普通病房,科室对他的灌洗液再次进行病理送检,证实为肺泡蛋白沉积症。术后,他呼吸困难症状明显改善,活动耐量大幅提升。



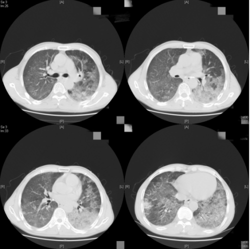
灌洗之后复查CT影像,较之前明显吸收
躺在呼吸与危重症医学科的病床上,常先生开玩笑说:“像换了个肺”。为了表达对立博体育
呼吸与危重症医学科的感激之情,他特意制作“医术精湛传四方 医德高尚暖人心”锦旗,送给医务人员。目前常先生恢复良好。
供稿丨呼吸与危重症医学科 黄秋霞
一审丨呼吸与危重症医学科 刘胜岗
二审丨呼吸与危重症医学科 杨红忠
三审丨宣传部 周阳
医德医风和医药领域腐败问题集中整治举报:
一、信息平台:立博体育|实时赛事直播与比分|权威专家分析与体育竞猜平台
二、邮寄地址:长沙市韶山南路161号立博体育
安全办,邮编:410004
三、来访接待:立博体育
安全办办公室