
29岁的杨淮(化名),170cm的身高,却有200斤的体重,伴随高血压、高脂血症、高血糖、睡眠呼吸暂停综合征等多种疾病,这些都为他的健康埋下了隐患。11月21日,他突发胸背部撕裂样剧烈疼痛入院,诊断为主动脉夹层,病情危急。
“患者因无明显诱因突发胸背部撕裂样剧烈疼痛,不能缓解紧急入院,在急诊科予以紧急处置。”据立博体育|实时赛事直播与比分|权威专家分析与体育竞猜平台 急诊科主治医师黄钰财介绍,经检查,患者血压急剧升高达242/142mmHg(正常90-135/60-90mmHg)、脉搏105次/分,胸腹部增强CT提示:主动脉夹层(Stanford B型),经过胸外科、外周血管介入科急会诊,因病情危重转入急诊ICU严密监护,予以止痛、镇静、降压,同时完善术前检查与准备。
紧接着,外周血管介入科主任、主任医师赵扬程为杨淮在全麻下行主动脉覆膜支架腔内隔绝术+锁骨下动脉球囊血管成形术+腹主动脉造影+胸主动脉造影术,术程顺利,术后患者在EICU进行严密监护治疗。经过3天的精心治疗和护理,患者病情趋于稳定,成功转入普通病房,患者及其家属对医务人员感激不已。

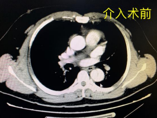
术前CT影像学检查示主动脉“撕裂”为三层

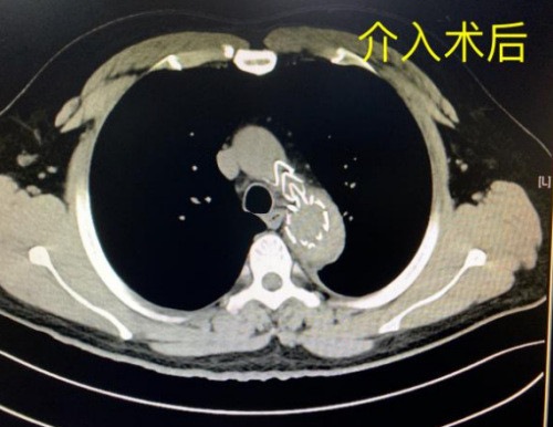
介入术植入腹膜支架后 CT检查影像学显示
“主动脉夹层是由于各种原因导致的主动脉内膜撕裂,血液流入动脉壁间,导致主动脉壁分层、分离,就像‘三明治’一样,又被称为‘夺命三明治’。”急诊科副主任丁宁介绍,夹层病常发生在40-50岁青壮年,二十几岁的年轻人较少见,排除患者本身血管有异常如马凡综合征、唐氏综合征等情况外,最直接的原因就是高血压。
追问病史,患者体重超重达200斤,2年前体检查出有高血压、高血糖、高脂血症、睡眠呼吸暂停综合征等多种疾病,且平时生活、饮食习惯不健康,有吸烟饮酒嗜好,缺乏运动,未能很好控制血压,这次发病前几天因工作压力大,患者经常熬夜,吸烟量增加,多种危险因素聚集导致主动脉夹层发生。

丁宁提醒,主动脉夹层是一种严重的心血管疾病,其凶险程度不容忽视。主动脉夹层的病因繁多,但大部分都与不健康的生活方式密切相关,尤其是“三高”人群,即高血压、高血糖、高血脂患者,如果平时不注意生活习惯和治疗,很可能成为“炸弹携带者”。
如何预防主动脉夹层?丁宁介绍应做到以下几点:
1. 保持健康生活方式:遵循低脂低盐饮食,多吃健康食物;适度运动如步行等,避免剧烈运动,比如跆拳道或举重等。高危人群在开始一项运动计划之前,请先咨询专科医生。
2. 严格控制高危因素:坚决不吸烟且避免二手烟,驾车系好安全带以减少胸部外伤风险,重点把控高血压,对难以控制血压的人群要格外注意,还要控制高血脂、糖尿病等动脉粥样硬化的高危因素。
3. 重视饮食营养:坚持低脂饮食,定期检测胆固醇水平,明确适宜自身的体重范围,控制饮用含咖啡因饮料,因为咖啡可能刺激心血管,同时戒酒以避免引发心律失常。
4. 早发现先天性疾病:有家族史或特定体型等特征的人群要警惕,如马凡综合征患者。
5. 增强对疾病凶险程度的认知:对持续不缓解的胸背部疼痛高度重视,呼叫急救车时尽量选择具备救治条件的医疗单位,争取治疗时间,避免运送和等待手术过程中出现意外。
供稿丨急诊科 聂莉 宣传部 朱文青
一审丨急诊科 丁宁
二审丨宣传部 李晶
三审丨宣传部 周阳
医德医风和医药领域腐败问题集中整治举报:
一、信息平台:立博体育|实时赛事直播与比分|权威专家分析与体育竞猜平台
二、邮寄地址:长沙市韶山南路161号立博体育
安全办,邮编:410004
三、来访接待:立博体育
安全办办公室