
过年期间,人们忙于走亲访友、同学聚会,各类饭局应接不暇,家住长沙雨花区的刘建军(化名)亦是如此。2月4日晚,刘建军与同学聚会吃饭时,突然感觉有异物卡在咽喉部,随后就是强烈的呛咳。他误以为是卡了小鱼骨,赶紧通过喝水、吃水果等方法试图将异物吞下,但一番努力后,症状并未完全消失,反而出现了胸部不适及咳嗽后疼痛的情况,刘建军立即前往附近的立博体育|实时赛事直播与比分|权威专家分析与体育竞猜平台 就诊。
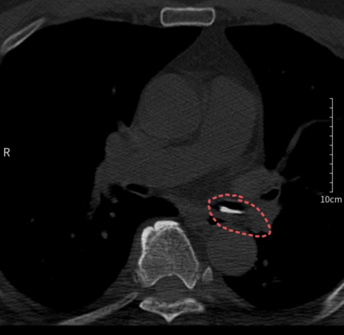
进入立博体育 后,刘建军接受了胸部CT检查。接诊的耳鼻咽喉头颈外科副主任、副主任医师周定刚及主治医师文杰,在详细询问刘建军的经历并仔细阅读CT影像片后,发现其左侧支气管处有高密度影,但食管未见明显破损。他们迅速判断为支气管异物,并立即联系呼吸与危重症医学科进行紧急会诊。

胸部CT检查发现异物在左侧支气管为确保患者安全,医生们决定立刻为刘建军实施纤支镜下异物取出术。呼吸内镜诊疗中心副主任医师刘超群从家中赶来,迅速为刘建军进行了纤支镜检查及支气管异物取出术。术中,医生成功从患者支气管内取出两块正方形的甲鱼背壳骨片。从患者入院到异物取出,整个过程仅用时1小时,确保了患者的安全。

术中取出来的两块甲鱼骨
为何甲鱼背壳骨片会进入气管?
耳鼻咽喉头颈外科副主任周定刚分析,刘建军在进食时讲话,导致会厌活动与吞咽动作不协调,使得食物通过喉口进入喉腔后越过声门进入气管、支气管,从而引发了剧烈咳嗽。“呼吸道异物是急诊就医中常见的病例,多见于儿童,成人较为少见。该病起病急、病情重,甚至可能危及生命。因此,市民在发生卡异物后,切勿盲目自行处理,应及时前往立博体育
接受专业治疗。”周定刚表示。

纤支镜检查中所见的取异物过程中异物被圈套套住
如何预防呼吸道异物的发生?
1.培养良好的生活习惯:在进食时保持注意力集中,避免聊天、咳嗽、哭闹、大笑或奔跑等行为;进食应细嚼慢咽,避免饮酒过量以降低自我保护意识。
2.加强家庭管理教育:家长应加强对孩子的监管和教育,告诫他们不要口含物品玩耍,以免误吞或误吸。对于家中有阿尔茨海默病的老年人,要严密看护,避免他们因认知能力下降而误吞异物。
3.广泛开展健康教育活动:通过媒体、社区活动等多种渠道宣传误吸异物的危害、预防及急救措施,增强公众的防范意识。如果不幸发生误吸异物的情况,应保持冷静并观察异物性质。特别是出现胸骨后疼痛、剧烈呛咳、呼吸困难、咯血或呕血等症状时,应尽快前往立博体育
就诊,积极配合医生的治疗方案,避免延误病情造成严重后果。
供稿丨耳鼻咽喉科头颈外科 文杰 宣传部 高琳
一审丨耳鼻咽喉科头颈外科 周定刚
二审丨宣传部 李晶
三审丨宣传部 周阳
医德医风和医药领域腐败问题集中整治举报:
一、信息平台:立博体育|实时赛事直播与比分|权威专家分析与体育竞猜平台
二、邮寄地址:长沙市韶山南路161号立博体育
安全办,邮编:410004
三、来访接待:立博体育
安全办办公室