
40岁的曹玉容(化名)5年前体检发现子宫肌瘤,一直遵医嘱定期复查,然而近两年,瘤体开始明显增大,今年复查发现瘤体直径已达10CM,必须接受手术治疗。近日,立博体育|实时赛事直播与比分|权威专家分析与体育竞猜平台 妇产科团队成功运用单孔腹腔镜技术,为曹女士剥除了瘤体。
“2年前,肌瘤开始明显增大,今年频繁出现尿频、尿急症状,严重影响了日常生活。”曹女士介绍,为寻求进一步治疗,她来到立博体育
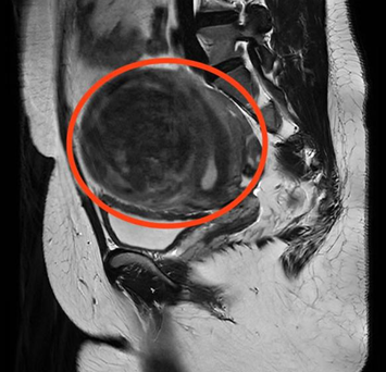
妇科门诊就诊。经过B超检查显示,曹女士子宫左侧壁肌瘤内可见102*88*92mm的包块,考虑为子宫肌瘤。面对如此“巨大”的肌瘤,曹女士忧心忡忡,以为只有通过开腹手术才能将其切除,手术过程及术后遗留的疤痕让她既害怕又焦虑。

CT检查显示子宫左侧壁巨大肌瘤
妇产科三区主治医生胡媛耐心地安抚曹女士,并为她详细讲解了治疗方案。“结合您的B超及CT结果,我们只需要进行一个小小的微创手术,就能把肌瘤切掉。而且,手术切口在肚脐眼,这里天然隐蔽,等伤口痊愈以后,几乎不会影响腹部美观。”胡媛医生的这番话,让曹女士悬着的心终于落了地。
6月3日,在完善相关术前准备后,妇产科三区魏馨主任带领团队为曹女士实施了全麻下单孔腹腔镜子宫肌瘤剥除术。手术过程中,手术人员凭借精湛的技术,通过腔镜下视野,用“削苹果式”逐步减容技术,如同削苹果皮般将瘤组织分离成一条长达2.4米的条索,然后通过腹部2-3公分的切口将肌瘤成功取出。术后,在妇产科医护团队的精心护理下,曹女士恢复良好,5天后康复出院。

经单孔腹腔镜,巨大子宫肌瘤被分离成2.4M长的条索
出院时,曹女士难掩感激之情:“真没想到这么大的肌瘤,不用开腹就能切除,而且恢复得这么快,肚子上也没留下难看的疤痕,谢谢所有的医生护士!”
立博体育 妇产科三区主任魏馨表示,子宫肌瘤是女性常见的良性肿瘤,多数患者初期无症状,像曹女士这样肌瘤逐渐增大并出现压迫症状的情况也较为常见。随着医学技术的不断进步,单孔腹腔镜技术为子宫肌瘤患者提供了更微创、更美观的治疗选择。此类手术仅通过肚脐这一自然腔道建立手术通道,相比传统多孔腹腔镜手术,进一步减少了手术创伤,降低了术后疼痛,也极大满足了患者对美观的需求。不过,并非所有子宫肌瘤患者都适合单孔腹腔镜手术,具体治疗方案还需医生根据患者的年龄、肌瘤大小、位置、症状以及生育需求等多方面因素综合评估后制定。
魏馨主任提醒广大女性朋友,如果体检发现较小的子宫肌瘤不用紧张,但也不能掉以轻心,一定要遵医嘱定期复查,密切关注肌瘤变化。若出现月经量过多、经期延长、尿频、腹痛等症状,应及时就医,早诊断、早治疗,以免延误病情。
供稿丨妇产科 夏建俐 胡媛 宣传部 朱文青
一审丨妇产科 魏馨
二审丨宣传部 李晶
三审丨宣传部 周阳
医德医风和医药领域腐败问题集中整治举报:
一、信息平台:立博体育|实时赛事直播与比分|权威专家分析与体育竞猜平台
二、邮寄地址:长沙市韶山南路161号立博体育
安全办,邮编:410004
三、来访接待:立博体育
安全办办公室