
近日,88岁的李建刚(化名)老人因突发右腿剧痛,被紧急送往立博体育|实时赛事直播与比分|权威专家分析与体育竞猜平台 。检查结果显示:老人右侧股骨骨折,全身多处骨骼骨质异常破坏。更关键的是,前列腺部位存在不明占位,血液中前列腺特异性抗原(PSA)数值远超正常标准,结合老人多年来排尿困难的病史,肿瘤科专家高度怀疑是前列腺癌,并且很可能已发生骨转移!
为尽快明确诊断,肿瘤科团队运用先进的CT模拟定位机,为老人实施了院内首例CT引导下前列腺肿物穿刺活检术,实现患者不转科、不来回奔波,“一站式”精准诊断。
据肿瘤科主任医师李岳勇介绍,确诊癌症,病理证据是无可替代的“金标准”。然而,对于像李爷爷这样的高龄患者,传统确诊途径一般需要转诊至泌尿外科进行前列腺穿刺活检,这也意味着更长的等待时间、更多的奔波和更高的风险,不仅延迟了治疗时机,也给老人带来额外的身体负担。
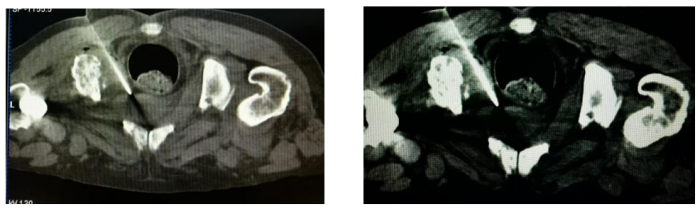
全面评估之后,李岳勇主任带领团队决定充分利用科室CT模拟定位机,为李爷爷实施肿瘤科首例CT引导下前列腺肿物穿刺活检术。通过高分辨率CT影像可清晰地勾勒出前列腺内微小病灶的精确位置。在李岳勇主任的指导下,苏天海医生通过影像的精准导航,将细针稳稳地送入目标区域,成功获取了关键的组织样本。整个手术过程顺利,患者全程无明显不适感,术后生命体征平稳。

患者俯卧位,穿刺活检针经过臀部到达前列腺部位
高效的检测流程带来了及时准确的检查结果,术后三天,活检病理报告明确诊断为“前列腺癌”,这为后续制定个体化、精准化的治疗方案(包括针对骨转移和原发癌灶的治疗)争取了至关重要的时间窗口。
本例手术的成功,也标志着立博体育 肿瘤科在前列腺肿瘤精准诊断技术上取得了重要突破,该项诊断技术具有以下优势:
1.精准指导:CT引导提供实时、高清的影像,确保穿刺针精准命中微小病灶,显著提高诊断阳性率。
2.微创安全:创伤极小,尤其适合像李爷爷这样基础疾病多、耐受力差的高龄患者,术中术后不适感轻微。
3.高效便捷:在肿瘤科“一站式”完成,避免了跨科转诊的繁琐流程,大幅缩短了确诊时间。
4.为治疗奠基:快速获得金标准病理结果,是启动有效内分泌治疗或放疗的基石。
李岳勇主任表示,肿瘤科此次首例CT引导下前列腺穿刺活检术的成功,不仅为高龄、疑难的肿瘤患者打通了一条更安全、更快捷的确诊路径,更是科室综合实力和多学科协作能力提升的有力证明。 医护人员将继续深耕精准诊疗技术,让更多患者获得及时、准确、高效的诊疗服务,为守护生命健康不断努力!
供稿丨肿瘤科 谢益 宣传部 朱文青
一审丨肿瘤科 李岳勇
二审丨宣传部 陈颖
三审丨宣传部 周阳
医德医风和医药领域腐败问题集中整治举报:
一、信息平台:立博体育|实时赛事直播与比分|权威专家分析与体育竞猜平台
二、邮寄地址:长沙市韶山南路161号立博体育
安全办,邮编:410004
三、来访接待:立博体育
安全办办公室