泌尿系统疾病常常让患者苦不堪言,且因其发病隐匿,诊断颇具难度。近日,立博体育|实时赛事直播与比分|权威专家分析与体育竞猜平台 多学科团队通过创新影像技术-逆行性CT膀胱造影技术精准定位隐匿病灶,为急诊手术提供了决定性依据,再次彰显了现代影像医学在急危重症救治中的关键作用。
精准诊断:破解临床难题
3月21日,34岁的李嫣(化名)因“突发腹痛伴排尿困难12小时”急诊入院。初步检查提示严重腹腔感染,但常规增强CT仅显示腹腔积液增多,放射科医师高度怀疑膀胱损伤,但临床医师进行常规膀胱镜检查却未见黏膜损伤,超声检查亦无阳性发现。在抗感染治疗效果不佳的情况下,李嫣病情持续恶化。
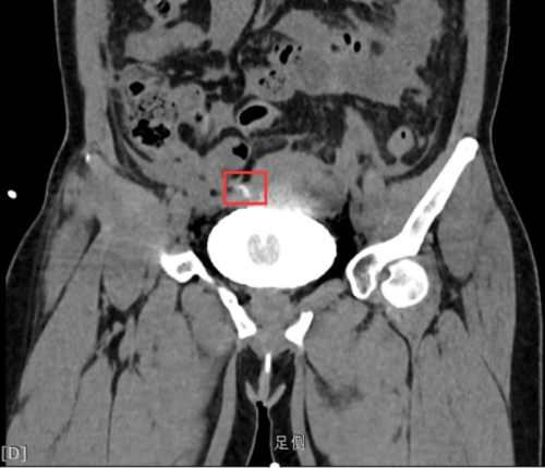
危急时刻,由泌尿外科、普外科和放射科组成的MDT团队迅速启动应急诊疗方案。放射科团队创新性地采用逆行性CT膀胱造影技术:通过尿道导管精准注入恒温造影剂,结合256层螺旋CT动态扫描,成功捕捉到膀胱顶壁一处细微的造影剂外渗征象。三维重建图像清晰显示病灶位于膀胱穹顶区,呈现特征性的“星芒状”渗漏模式。

膀胱穹顶区可见“星芒状”(红框内)渗漏
多学科协作:从精准诊断到精准治疗
基于放射科提供的精准影像定位,当晚泌尿外科与普外科团队联合为李女士实施急诊手术。术中所见与影像诊断完全吻合:膀胱顶壁存在直径约0.5cm的陈旧性憩室破裂口,周围被大网膜包裹形成假性闭合。手术团队顺利完成膀胱修补和腹腔脓液清除,术后病理证实为慢性炎症导致的膀胱壁薄弱破裂。
技术创新:“高清摄像头”突破传统局限
据放射科主任周俊杰介绍,逆行性CT膀胱造影具有三大技术优势。1、采用直接灌注法,避免静脉造影的全身分布干扰;2、动态捕捉造影剂流动全过程,可发现瞬时渗漏;3、多平面重建技术突破解剖屏障,实现三维立体显像。“这项技术就像为膀胱装上了‘高清摄像头’,不仅能观察静态结构,还能实时记录功能变化。”周主任强调,“对于浆膜层微小破裂等传统检查易漏诊的病变,其诊断准确率可达95%以上。”
人文关怀:技术背后的温度
值得一提的是,检查过程中放射科技师团队采取多项人性化措施:使用加温至37℃的造影剂减少刺激,调整扫描参数降低辐射剂量,并通过实时沟通缓解患者焦虑。影像诊断团队连夜分析上千幅图像,最终在膀胱穹顶区发现关键病灶。
目前李女士已康复出院。此次成功救治充分体现了该院多学科协作的优势和精准医疗的理念。随着医学影像技术的不断发展,立博体育
将持续创新检查方案,为临床诊疗提供更强大的技术支持,让更多疑难疾病患者受益。
供稿丨放射科 姚冀 宣传部 高琳
一审丨放射科 周俊杰
二审丨宣传部 李晶
三审丨宣传部 周阳

