“一颗结石竟让我在鬼门关走了一遭!”4月10日,长沙市民张小华(化名)因双侧输尿管结石引发尿源性脓毒血症,在24小时内从普通腰痛发展至休克状态,经立博体育|实时赛事直播与比分|权威专家分析与体育竞猜平台 多学科全力抢救才脱离危险。专家警示,泌尿系统结石若延误治疗,可能引发致命并发症。
惊魂24小时:一颗结石引发的生死危机
“以为忍忍就能过去,没想到差点酿成大祸。”家住雨花区的张小华回忆,自己多年前就查出肾结石,但因结石较小,每次腰痛发作自行服药后都能缓解,便忽视了定期复查。4月9日,她突感腰部剧痛,服药无效后迅速出现寒战、高热(39℃)直至意识模糊。
等到第二天送医时,张小华血压已降至78/42mmHg(血压<90/60mmHg称为休克血压),CT结果显示其双侧输尿管结石引发尿路梗阻,导致尿源性脓毒血症合并脓毒性休克。立博体育 立即启动MDT多学科诊疗,泌尿外科一区主任傅发军带领团队紧急在急诊ICU实施床旁输尿管支架置入术,迅速解除梗阻,经抗感染等综合治疗,患者最终转危为安。目前,张小华已康复出院,择期再返院处理双侧输尿管结石。

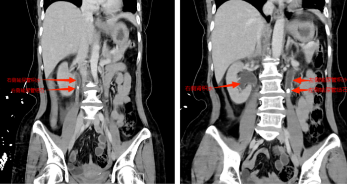
CT显示双侧输尿管结石、肾积水

双侧输尿管支架置入后解除尿路梗阻
专家警示:这些症状是身体在“求救”
立博体育
泌尿外科一区主任、主任医师傅发军指出,尿源性脓毒血症是由尿路感染引起的全身炎症反应综合征,是泌尿外科最危急的病症之一,死亡率达20%~40%。“当结石导致尿路梗阻时,尿液无法正常排出,细菌及毒素可经泌尿系统进入血液循环,引发全身性感染。特别是双侧尿路梗阻患者,双肾同时‘罢工’,毒素和代谢废物无法排出,病情进展更为迅猛,可能短时间内导致多器官功能衰竭,甚至死亡。”
不能忽视的四大危险信号:
1.腰痛与高热“结伴而来”(体温>38.5℃);
2.排尿出现“三急一痛”(尿频、尿急、尿不尽、排尿痛);
3.全身“中毒反应”(寒战如筛糠、呕吐不止、神志恍惚);
4.生命体征“亮红灯”(呼吸急促、血压骤降)
针对该病症的防治,傅发军提出建议:一是及时识别危险信号。出现腰痛伴发热等症状时,应立即就医,切勿自行服药延误治疗。糖尿病患者、老年人群、免疫力低下者等高危人群更需提高警惕;二是做好日常预防。包括定期体检(结石患者每3—6个月进行泌尿系统超声检查)、科学饮水(保证每日2000毫升以上饮水量,可适量饮用柠檬水)、饮食调节(限制高草酸食物摄入,保持膳食均衡)、适度运动(规律运动有助于预防结石形成)。
傅发军强调:“泌尿系统结石绝非小问题,及时规范治疗是关键。特别是出现发热等感染症状时,必须争分夺秒就医,这是挽救生命的重要保障。”
供稿丨泌尿外科一区 金培民 宣传部 高琳
一审丨泌尿外科一区 傅发军
二审丨宣传部 李晶
三审丨宣传部 周阳

