“本以为只是普通老年病,没想到竟是癌症转移!”近日,在立博体育|实时赛事直播与比分|权威专家分析与体育竞猜平台 ,86岁的李昌乐(化名)老人经历了一场与病魔的较量,最终凭借先进的PET/CT技术,成功揪出导致他全身多处疼痛的“元凶”——前列腺癌广泛骨转移,经过针对性治疗,老人疼痛显著缓解,生活质量大幅提升。

骨痛缠身,病因成谜、
李昌乐回忆,自己在近3个月来一直饱受肩、颈、腰多处疼痛的困扰。起初,他以为是肩周炎、椎间盘突出症等老年常见病,并未太过在意,然而疼痛却在不断加剧,近期已经严重影响到日常生活,这才在家人的陪伴下来到立博体育 就医。
入院后,医生为老人进行了骨扫描检查,结果显示全身多处骨代谢异常,高度怀疑癌症骨转移。但李昌乐近期的常规检查,包括肺部CT、腹部超声(涵盖肝胆胰脾、腹腔、肾脏、前列腺及膀胱)均未能找到病因。面对这一复杂病情,该院医生凭借丰富的临床经验,果断建议行PET/CT检查,以寻找原发灶并明确诊断。
PET/CT显威,“元凶”现形
在医生的建议下,李昌乐接受了18F-FDG PET/CT检查(18F-FDG,全称氟代脱氧葡萄糖,是一种葡萄糖类似物)。通过这种“雷达式”扫描,医生发现老人前列腺外周带代谢轻度不均匀增高,延迟显像显示进一步增高,同时全身多发骨质异常,糖代谢异常增高,其余部位未见高代谢病灶。据此,医生立即锁定“元凶”为前列腺,考虑前列腺癌伴全身多发骨转移。
为进一步明确诊断和分期,医生又为李爷爷完善了PSA(全称前列腺特异性抗原,是前列腺癌肿瘤标志物)检测,并安排了18F-PSMA PET/CT检查(PSMA,全称前列腺特异性膜抗原,是一种与前列腺癌密切相关的蛋白质)。最终,PSMA PET/CT显像清晰显示出前列腺癌原发灶及转移灶的范围及大小,并且还发现了FDG PET/CT显像未能查出的微小骨转移灶及盆腔淋巴结转移灶。这一结果为临床医生提供了关键依据,避免了盲目手术或穿刺的风险,为治疗方案选择提供了有力支持。

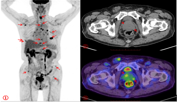
FDG PET/CT显像① MIP图:箭头所示全身多处糖代谢异常增高灶为骨转移灶;③PET/CT融合图:箭头所示糖代谢异常增高处为前列腺癌原发灶(SUVmax约3.2),而②CT图显示密度无异常。
PET/CT:精准诊疗的“秘密武器”
“PET/CT,又称正电子发射计算机断层/X线计算机体层成像,其利用‘核素示踪影像技术’,将微量的正电子核素示踪剂注射到人体内,探测在各脏器的分布情况,并利用融合技术将CT和PET融为一体,由CT提供病灶的精确解剖定位,PET提供病灶详尽的功能与代谢等分子信息,实现了“1 + 1>2”的效果。”
该院核医学科副主任吴菊清解释道,PET/CT被誉为“查癌神器”,具备一次检查可获得全身信息、连续扫描不遗漏病灶、反映代谢信息的全貌、准确率高等优势;同时安全无创:如显像剂无药理作用、不影响肝肾功能、辐射剂量低等特点;可发现传统影像难以察觉的微小病灶,精准分期,为后续治疗决策制定提供关键依据。
多学科协作,重获健康希望
经过PET/CT检查,李昌乐老人终于找到了引起其骨痛的“元凶”,并在超声引导下行前列腺穿刺活检,进一步确诊为前列腺癌。立博体育 多学科团队根据其PET/CT结果,为其制定了个性化的治疗方案。治疗1个月后,老人骨痛症状明显缓解,PSA水平显著下降。目前,李昌乐已回归正常生活,后续将继续治疗并通过影像随访评估长期疗效。

精准医疗,守护健康
从“误认为肩周炎和椎间盘突出症”到精准锁定前列腺癌,患者通过先进影像技术确诊并获有效治疗的案例,充分展现了PET/CT在肿瘤诊断、分期与治疗指导中的重要作用。立博体育
将持续优化诊疗流程,不断提升医疗服务水平,为患者提供更高效、更精准的医疗服务。
供稿丨核医学科 朱婷 宣传部 高琳
一审丨核医学科 吴菊清
二审丨宣传部 李晶
三审丨宣传部 周阳

