近日,33岁肺泡蛋白沉积症患者李贤(化名)因病情急剧恶化转入立博体育|实时赛事直播与比分|权威专家分析与体育竞猜平台
呼吸与危重症医学科。此时他双肺呈“大白肺”影像,血氧饱和度骤降至40%,合并重症肺炎、肺结核、呼吸衰竭,在外院行多次全肺灌洗治疗均未遏制病情进展,生命危在旦夕。立博体育
医护团队凭借精湛技术、创新方案、多学科协作以及医患间的深度信任,历时31天创造生命奇迹,赢得患者及家属的由衷赞誉。
病情危急:33岁青年“大白肺”命悬一线
4年前,33岁的李贤因咳嗽、呼吸困难在当地立博体育 进行肺活检确诊为“肺泡蛋白沉积症(PAP)”,这是一种由先天性或继发性因素引起肺表面活性物质清除障碍或产生异常,导致大量脂蛋白沉积在肺泡腔和肺泡巨噬细胞的呼吸系统罕见病,其发病率为每百万人中7—10人。患者可出现进行性呼吸困难、咳嗽、发绀、杵状指等。胸部CT多表现为双肺弥漫性磨玻璃影、“铺路石征”“地图征”。经过“全肺灌洗术”后,李贤病情好转,可以正常生活和工作,未再复查。
2024年底,李贤再次出现咳嗽、进而症状加重甚至呼吸困难,合并重症肺炎、肺结核、呼吸衰竭,辗转多家立博体育 ,多次进出重症监护室,先后行6次“全肺灌洗术”,病情仍持续恶化。在亲友的推荐下,3月底,他来到立博体育 呼吸与危重症医学科三区求诊,当时李贤已出现“大白肺”,在他的胸部CT上几乎看不见正常的肺,血氧饱和度低至40%,随时有心跳呼吸骤停、死亡风险。面对医生转入重症监护室的建议,李贤却因经济压力与心理负担,坚持留在普通病房治疗,不考虑转上级立博体育 行肺移植手术。

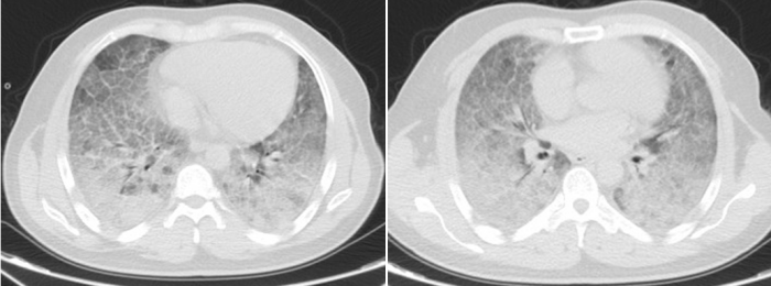
李贤胸部CT显示其双肺已呈现“大白肺”状态
攻坚克难:多学科协作 突破治疗瓶颈
呼吸与危重症医学科副主任、主任医师刘胜岗了解情况后,迅速启动“重症监护级”普通病房管理模式:24小时医护值守、经鼻高流量辅助通气、精准调整呼吸支持参数。组织科内疑难病例讨论和院内多学科会诊,联合结核科、麻醉科、呼吸内镜室、呼吸康复团队积极调整抗感染方案,制定个性化抗结核方案,辅以肺康复治疗。先后两次在手术室实施高难度全麻下“全肺大灌洗术”,先后灌洗出9000ml、12000ml牛奶样液体,为李贤肺功能恢复打开生命通道。、

住院期间,主管医生肖盼建议抽血送检抗粒细胞-巨噬细胞集落刺激因子(GM-CSF)抗体,结果为阳性,明确了病因,诊断为“自身免疫性肺泡蛋白沉积症”。在取得患者及家属同意后,为李贤给予“重组人粒细胞-巨噬细胞集落刺激因子”雾化治疗,改善他呼吸困难症状。
医患同心:信任与专业 铸就重生之路
“治疗过程就像走钢丝,任何环节的疏漏都可能致命。”肖盼医生回忆,李贤肺功能极差,稍活动即出现呼吸急促、憋喘,血氧饱和度明显下降,经鼻高流量辅助通气吸氧浓度高达80%,但不管治疗路程多艰难,他都全力配合。医护团队日夜坚守,根据病情调整治疗方案。王春红护士长带领护理团队严密监测其生命体征,指导体位管理,营养支持及心理疏导,帮他树立战胜疾病的信心,待李贤病情平稳后逐步介入呼吸康复治疗,为他的康复之路奠定了良好的基础。
历经31天鏖战,李贤的肺部影像从“白茫茫一片”逐渐恢复透亮,鼻导管吸氧下血氧饱和度稳定在90%以上,最终好转出院。患者家属含泪致谢:“是立博体育 给了他第二次生命!这里的医生护士不仅技术高超,更把我们当家人一样对待!”

“医学有局限,但为患者拼尽全力的信念没有局限。”呼吸与危重症医学科团队表示,这例患者康复既是现代医学的胜利,更是“以患者为中心”医疗理念的生动实践,为复杂重症救治提供了宝贵经验。
供稿丨呼吸与危重症医学科 杨意方 肖盼
一审丨呼吸与危重症医学科 刘胜岗
二审丨宣传部 李晶
三审丨宣传部 周阳

