20岁的梁高(化名)发现右大腿肿物1年余,近期增大并伴有右下肢活动部分受限,前往立博体育|实时赛事直播与比分|权威专家分析与体育竞猜平台 手足显微外科就诊,完善检查后诊断为“侵袭性纤维瘤”,医生告诉梁高,这种肿瘤被称为介于良性与恶性之间的“交界性肿瘤”,一旦确诊,应及时治疗。
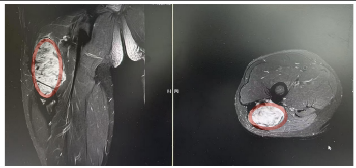
“患者入院后MR检查提示恶性肿瘤可能,肿块约10*2*2CM大小,经B超引导下行穿刺活检,病理提示:侵袭性纤维瘤病。”据手足显微外科副主任医师曾驰介绍,由于肿块较大,无法保守治疗,在完善术前准备后行瘤体切除术,手术顺利,术后患者恢复良好。

术前影像:红色标记部分为侵袭性纤维瘤
曾驰介绍,侵袭性纤维瘤病(Aggressive Fibromatosis),又称硬纤维瘤或韧带样纤维瘤,是一种起源于肌肉、筋膜或肌腱的罕见软组织肿瘤。尽管它在病理学上属于良性肿瘤,但具有局部侵袭性生长的特点,可能破坏周围组织(如骨骼、神经、血管),且术后容易复发,因此被医学界称为介于良性与恶性之间的“交界性肿瘤”。目前病因尚未完全明确,可能与遗传因素、外伤或手术史、激素影响有关。其临床表现因患者和肿瘤的部位而异,常见的症状包括局部肿块、疼痛、压迫神经、运动受限以及器官功能受损等。由于其无法通过影像学表现出典型的特征,所以确诊主要依靠病理学检查。

“患者如果发现身体局部出现肿块,且不断增大,应及时就医,该病通过超声、CT或MRI检查结合病理检查可以帮助确诊。”曾驰提醒,由于该病手术后复发率高达20%~40%,部分病例甚至多次复发,因此这类患者应避免过度焦虑,同时警惕“放任不管”,术后应做好定期随访,每3-6个月复查影像学检查,监测肿瘤是否复发,同时避免对手术部位的按摩或外力压迫,出现症状及时就医。
供稿丨手足显微外科 曾驰 宣传部 朱文青
一审丨手足显微外科 蒋亮东
二审丨宣传部 李晶
三审丨宣传部 周阳

