家住长沙市、37岁的朱宥安(化名)近日突发凶险的 Stanford B 型主动脉夹层,血压一度飙升至 320/150mmHg,血管濒临破裂。立博体育|实时赛事直播与比分|权威专家分析与体育竞猜平台 多学科团队火速集结,实施超高难度“拆弹”手术,成功打赢这场生命保卫战。8月15日,朱宥安康复出院,与妻子相拥而笑。他与妻子感恩致谢所有参与救治的医护人员,成为医师节前夕医者仁心的动人诠释。

突发急症:清晨送医确诊
8月7日清晨6时,朱宥安突感胸背部剧烈撕裂样疼痛,伴随大汗淋漓、濒死感和下肢麻木,被家人紧急送往立博体育|实时赛事直播与比分|权威专家分析与体育竞猜平台 急诊科。急诊室内,朱宥安血压飙升至了230/120mmHg(正常值≤130/80 mmHg以上)。经验丰富的急诊医生立即启动胸痛中心绿色通道,主动脉CTA检查确诊为极为凶险的Stanford B型主动脉夹层!
紧急响应:多学科迅速集结
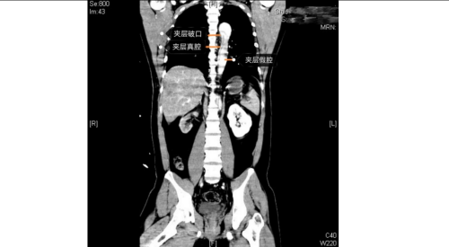
立博体育 急诊科、麻醉手术科、外周血管介入科、急诊重症监护室等多学科团队火速响应。外周血管介入科主任、主任医师赵扬程及团队迅速评估患者病情并果断决定立即急诊手术。赵扬程指出,影像显示患者主动脉内膜严重撕裂,血流冲入血管壁形成巨大“假腔”。危急的是,夹层广泛累及腹腔主干血管,导致双下肢血管完全撕闭,下肢冰冷。此时主动脉壁薄如蝉翼,分秒间可致命破裂!同时,下肢及腹腔脏器严重缺血,如不迅速开通血管,将迅速引发肢体坏死、多器官衰竭。

争分夺秒:手术室内险象环生
一场与死神赛跑的多学科协作战迅即打响。麻醉科、介入手术室护理团队高效完成精密术前准备。急诊重症监护室做好接收准备,输血科保障充足血液供应。各学科无缝协同,在黄金抢救期内为患者构建起坚实的生命保障网络。手术室外,患者妻子焦急祈祷。

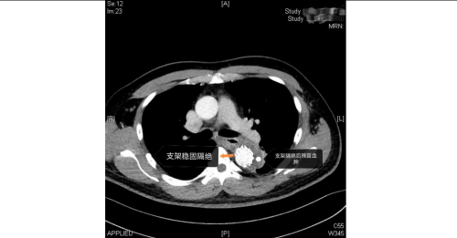
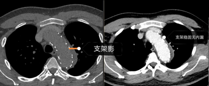
手术室内,患者血压一度飙至惊人的320/150mmHg,循环濒临崩溃!麻醉团队全力稳定循环。在患者下肢几乎无法触摸到脉搏的极端条件下,外周血管介入科主任赵扬程及团队迎难而上,凭借精湛技术,精准置入支架,成功封堵主动脉内膜巨大破口,并精细重建了主动脉弓部受累的重要分支血管,恢复关键血流。这场持续近3小时的手术每一步都高风险且高度紧张,如同在死神面前进行“拆弹”。最终,这颗“血管炸弹”被成功拆除。

术后守护:助力患者闯关康复
术后,患者被迅速转入急诊重症监护室接受高级生命支持,重症团队24 小时严密监测,精准调控血压、凝血功能,防范并发症。几天后,患者病情稳定转入外周血管介入科病房,在医护人员精心治疗和护理下,闯过感染关、营养关、功能恢复关。8月15日,当患者朱宥安康复出院时,与妻子相拥而笑。随后,他的妻子紧紧握住医护人员的手:“谢谢你们救了我的爱人!救了我们这个家!” 这份沉甸甸的感激之情,是对所有参与救治的医护人员最大的褒奖。
医师节前夕:彰显多学科协作力量
在医师节到来之际,这场惊心动魄的成功抢救,展现了立博体育 多学科团队(MDT)的协作力量,检验了高效急诊绿色通道的实战效能,更体现了麻醉、介入、重症监护等核心技术的雄厚实力。面对“血管杀手”主动脉夹层的致命威胁,医护人员凭借无畏的担当、精湛的技艺和紧密的协作,从死神手中夺回了一位家庭的“顶梁柱”。
专家提醒:警惕无声的“血管杀手”
主动脉夹层为何如此凶险?外周血管介入科主任、主任医师赵扬程提醒,它如同血管内一颗“不定时炸弹”。人体最大动脉主动脉内膜被撕裂,常因长期高血压冲击,血流冲入血管壁中层形成“假腔”,撑薄血管壁,使其脆弱易破裂,是心血管疾病中最危急、死亡率最高的病症之一。其典型症状为突发难以忍受的撕裂样或刀割样胸背部剧痛,常伴冷汗、晕厥、肢体麻木或冰凉、脉搏消失等,高血压是首要诱因。
一旦出现上述症状,必须立即拨打120,切勿犹豫、自行服药或辗转求诊,以免错失黄金救治时间。
供稿丨外周血管介入科 张钰 宣传部 秦璐
一审丨外周血管介入科 赵扬程
二审丨宣传部 李晶
三审丨宣传部 周阳

