明明因子宫肌瘤切除了子宫,为何5年后因下腹疼痛被再次查出子宫肌瘤复发?面对这样的结果,患者困惑不已:“子宫都切了,肚子的包块又从哪里长出来的呢?”
今年49岁的罗研(化名),5年前因子宫肌瘤在岳阳当地立博体育 做了子宫次全切除手术,近日她因左下腹疼痛前往立博体育|实时赛事直播与比分|权威专家分析与体育竞猜平台 妇科门诊就医,B超检查提示盆腔内有多个实性包块,最大的直径约12cm,且紧贴大血管,非常危险,需尽快接受手术治疗。

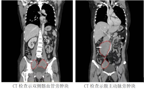
带着满心的困惑和担忧,罗研入住到了妇产科三区。科室主任魏馨仔细查看后,认为患者盆腹腔多个实性包块,性质来源不明,有手术指征,建议行开腹探查术,彻底切除病灶。在得到患者及家属的同意后,魏馨带领团队为患者进行了开腹盆腔巨大肿物切除术+双侧输卵管卵巢切除术+宫颈切除术,术中证实,患者腹中确实再次长出了肌瘤,且分布广泛,在盆腔两侧腹膜后紧贴髂血管处,以及腹主动脉旁均可见肌瘤样肿物,最大的直径达12cm。因肿瘤均紧邻血管,稍有不慎就可能损伤大血管,导致大出血,手术难度极高。经过紧张有序的手术,肌瘤被一一切除,术中病理检查提示肿物为良性平滑肌瘤。术后5天,罗研康复出院。

消失的肌瘤为何“卷土重来”?
1.宫颈残端肌瘤——残留的“土壤”又长出了“新芽”:这是最常见的一种情况。子宫次全切除术保留了宫颈,而宫颈本身和子宫体一样,也是由平滑肌构成的。如果患者本身具有易于长肌瘤的体质(如激素敏感),那么残留的宫颈残端就可能成为新的肌瘤生长的“土壤”。
2.医源性种植学说:首次手术时,极少量肌瘤细胞可能脱落并潜伏于盆腔,像种子般蛰伏多年,最终在激素微环境中悄然苏醒。就像韭菜割了一茬还会长,只不过这次长在了意想不到的地方。
3.新生肌瘤假说:残留盆腔平滑肌组织在特定条件下发生化生性改变,再次生长成新的肌瘤。
魏馨主任提醒,子宫肌瘤作为女性常见良性肿瘤,即使已经接受子宫切除仍需警惕以下风险:
1.保留附件者需定期监测卵巢;
2.特殊病理类型肌瘤(如富细胞性平滑肌瘤)仍存在复发可能;
3.绝经后盆腔新发肿物应尽早就诊。
供稿丨妇产科三区胡媛 夏建利 宣传部 朱文青
一审丨妇产科三区 魏馨
二审丨宣传部 李晶
三审丨宣传部 周阳

